Staphyloma
All content on Eyewiki is protected by copyright law and the Terms of Service. This content may not be reproduced, copied, or put into any artificial intelligence program, including large language and generative AI models, without permission from the Academy.
Disease Entity.
Introduction[2]
A staphyloma is a circumscribed outpouching of the wall of the globe. Posterior staphyloma is considered a hallmark of pathologic myopia and are among one of the major causes of developing maculopathy. However, it can be present in non-myopic eyes, often acquired secondarily due to infection or trauma. Staphylomas that occur anteriorly are often acquired, while those that are posterior are congenital or due to extreme myopia.
Types of staphyloma according to location
In staphyloma the wall of the globe (cornea or sclera) are ectatic/thin and bulging with uveal tissue in it giving it a pigmented color. Staphylus (Greek) means cluster of grapes and staphyloma gets its name from this. According to the location, staphyloma may be classified as
- Anterior, involving cornea and surrounding sclera
- Intercalary, involving the limbus
- Ciliary, involving the ciliary body, just behind the limbus
- Equatorial, at the equator of the globe
- Posterior staphyloma, at the posterior pole, behind the equator. The progression of posterior staphyloma may not stop at any specific age, unlike the moderate myopia cases which usually stabilize at around 18-21 years of age.
Epidemiology[3]
Up to 9% of Asian and 2% of White population in the United States have pathologic myopia, which increases their likelihood of having concurrent posterior staphyloma.
Risk Factors & Associated Conditions[2][3][4]
Patients with pathologic myopia are at increased risk for posterior staphylomas. Up to 50% of patients with pathologic myopia are reported to have a staphyloma. The definition of pathologic myopia has been updated to include the presence of a posterior staphyloma. Though, it is important to note that not all patients with myopia develop a staphyloma. Staphylomas are associated with other macular complications related to myopia, such as choroidal neovascularization, retinoschisis, and glaucomatous optic neuropathy. In the non-myopic eye, staphylomas can be seen as a response to trauma or infection, and rarely, surgery. Congenital disease associations include any condition causing defects in Bruch’s membrane, such as retinitis pigmentosa, Alport’s syndrome, pseudoxanthoma elasticum, and tilted-disc syndrome.
Pathophysiology[2]
The etiology of the formation of staphylomas are unclear, however there is postulation that local choroidal factors and a decreased resistance of the sclera leading to a protruding Bruch’s membrane can result in staphylomas. Myopic eyes have increased elasticity due to its longer axial length, which causes it to expand and gradually thin to form these outpouchings. Secondary etiologies such as trauma or infection can disrupt the structure of the sclera, placing the injured region at risk for subsequent scleral thinning, to eventual development of staphyloma.
Diagnosis
Symptoms[5][6]
Staphylomas often present in highly myopic patients. Presenting symptoms of staphyomas include significantly worsening of vision in previously myopic patients. Severe staphylomas may also present in patients as an enlarged and protruding eye.
Physical Exam [7]
Posterior staphylomas will present as a crescentic shadow located 2-3 disk diameters from the optic nerve. There will be alterations is retinal vessels in the identified area. On indirect ophthalmoscopy with 20D lens, the affected area appears to be depressed from the adjacent retina in the steroscopic view.
Diagnostic Procedures[2][8]
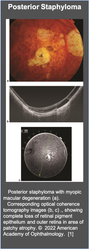
Diagnosis is made clinically through direct observation, via the indirect ophthalmoscope. It is accompanied by an optical coherence tomography (OCT), which allows clinicians to examine the curvature and scope of the staphyloma. Recent advances in OCT have enabled clinicians to observe the fundus in more detail. Researchers in Japan recommend using swept-source OCT, which can obtain images of deeper tissues, such as the choroid, sclera, and optic nerve, to capture staphylomas that are often missed by current technology. OCT is very important to rule out myopic maculopathy or myopic traction maculopathy in such cases.
In certain situations, either a CT scan or MRI may be applied to visualize the posterior extent of the staphyloma. Though some have proposed using 3D MRI images, its use is limited in cases where the staphyloma is located peripapillary or is slight and narrow in nature.
Classification[2][9]
Staphylomas were first studied via direct observations of enucleated eyes or in vivo by B-mode echography by Curtin in 1977. He identified ten types of staphyloma, which are composed of five primary and five compound. Compound staphylomas are combinations of primary ones or complex variations of them, usually type I,
- Type I: primary, posterior pole
- Type II: primary, macular area
- Type III: primary, peripapillary area
- Type IV: primary, fundus nasal to the disc
- Type V: primary, area below the disc
- Type VI: combined, types I and II
- Type VII: combined, types I and III
- Type VIII: tiered staphyloma
- Type IX: septal staphyloma
- Type X: plicated staphyloma
Differential Diagnosis[2][10][6]
- Peripapillary atrophy
- Tilted-disc syndrome
- Retinochoroidal coloboma
- Morning glory syndrome
- Bupothalmus
Management
General Treatment[11]
There is currently no gold standard treatment of staphyloma due to a generally unclear pathogenesis. One method of treatment is to monitor progression of the staphyloma. Many do not require treatment and remain stable over time. If there is observed thinning of the sclera, one treatment option is posterior scleral reinforcement (PSR). PSR involves the placement of a graft in the posterior aspect of the fundus to prevent further progression of staphylomas, though this is still a controversial treatment. There is currently no known medical treatment for staphylomas.
Prognosis[2]
Prognosis is good for patients with staphyloma, as progression is generally slow. Many do not need treatment and remain unchanged for years. Eyes with posterior staphyloma, however, have been reported to have worse outcome functionally and structurally than the eyes with simple axial myopia but without staphyloma.
Additional Resources
- https://www.aao.org/eye-health/ask-ophthalmologist-q/staphyloma
- https://www.aao.org/eye-health/ask-ophthalmologist-q/is-there-any-reliable-treatment-staphyloma
- https://eyewiki.org/Pathologic_myopia_(myopic_degeneration)
References
- ↑ American Academy of Ophthalmology. Posterior staphyloma. https://www.aao.org/image/posterior-staphyloma-2. Accessed May 31, 2022.
- ↑ 2.0 2.1 2.2 2.3 2.4 2.5 2.6 Ohno-Matsui K, Jonas JB. Posterior staphyloma in pathologic myopia. Progress in Retinal and Eye Research. 2019;70:99-109. doi:10.1016/j.preteyeres.2018.12.001.
- ↑ 3.0 3.1 Hsiang HW, Ohno-Matsui K, Shimada N, et al. Clinical Characteristics of Posterior Staphyloma in Eyes with Pathologic Myopia. American Journal of Ophthalmology. 2008;146(1). doi:10.1016/j.ajo.2008.03.010.
- ↑ Gliem M, Fimmers R, Müller PL, et al. Choroidal Changes Associated With Bruch Membrane Pathology in Pseudoxanthoma Elasticum. American Journal of Ophthalmology. 2014;158(1). doi:10.1016/j.ajo.2014.04.005.
- ↑ Tanaka N, Shinohara K, Yokoi T, Uramoto K, Takahashi H, Onishi Y, Horie S, Yoshida T, Ohno-Matsui K. Posterior staphylomas and scleral curvature of highly myopic children and adolescents investigated by ultra-widefield optical coherence tomography. PLOS ONE. Published June 10, 2019. https://doi.org/10.1371/journal.pone.0218107.
- ↑ 6.0 6.1 Rawal S, Cruz JP. Case of the Week. American Journal of Neuroradiology. Published August 13, 2015.
- ↑ Nema HV, Nema N. (2012) Textbook of Ophthalmology. New Delhi, India:: Jaypee-Highlights Medical Publishers Inc.
- ↑ Shinohara K, Moriyama M, Shimada N, Yoshida T, Ohno-Matsui K. Characteristics of Peripapillary Staphylomas Associated With High Myopia Determined by Swept-Source Optical Coherence Tomography. American Journal of Ophthalmology. 2016;169:138-144. doi:10.1016/j.ajo.2016.06.033.
- ↑ Curtin BJ. The posterior staphyloma of pathologic myopia. Trans Am Ophthalmol Soc. 1977;75:67–86.
- ↑ Case 133 Diagnosis Lisa Burkhart- Kellogg http://kellogg.umich.edu/retinadx/retina_cases/133/diagnosis.html
- ↑ Li XJ, Yang XP, Li QM, W YY, Wang Y, Lyu XB, Jai H. Posterior scleral reinforcement for the treatment of pathological myopia. International Journal of Ophthalmology. 2016; 9(4): 580–584. doi: 10.18240/ijo.2016.04.18

