File:Purtscher-Like Retinopathy.png
From EyeWiki
Size of this preview: 800 × 333 pixels. Other resolution: 2,212 × 920 pixels.
Original file (2,212 × 920 pixels, file size: 3.67 MB, MIME type: image/png)
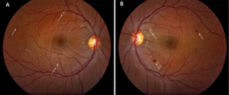
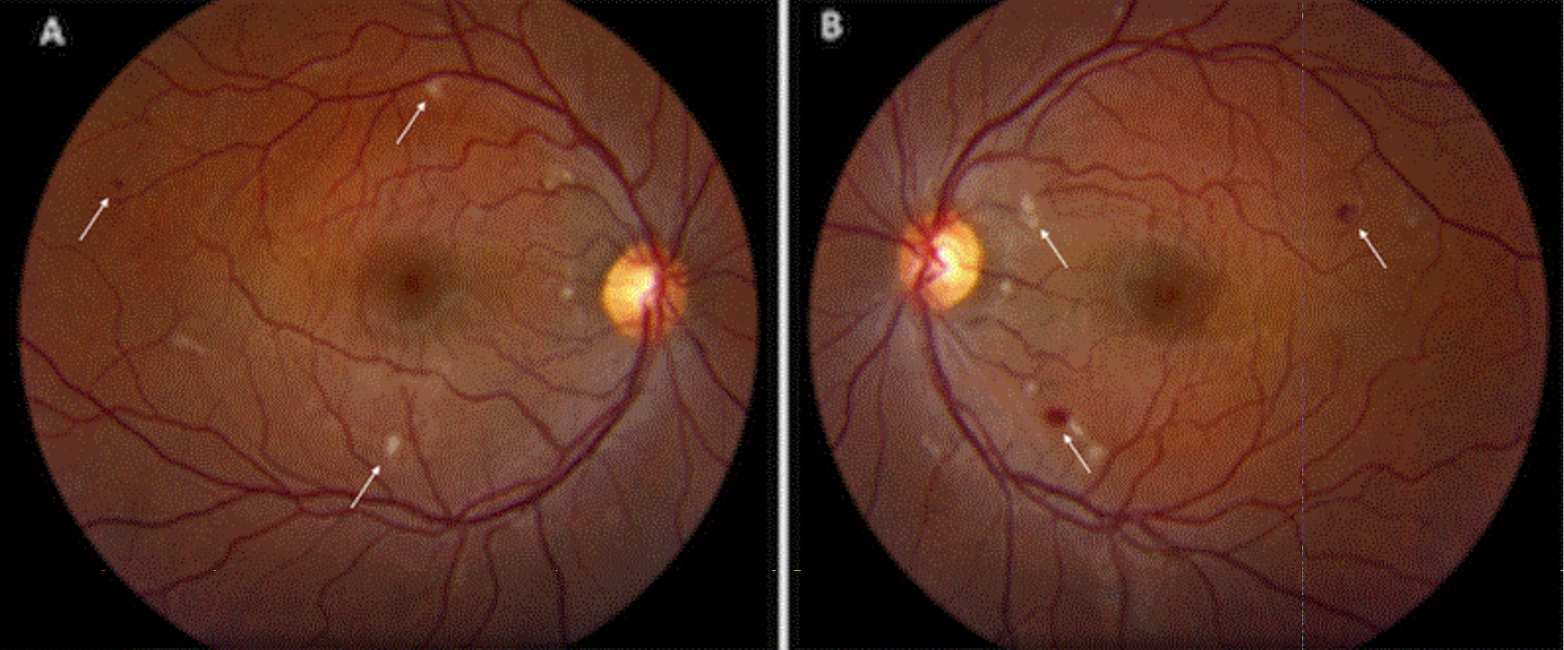
Example of an ocular complications of filler injections: fundus photography of patient with vision decreased to 20/70 in the right eye and 20/200 in the left eye, demonstrating Purtscher-like retinopathy following a soft tissue gluteal injection of an unknown substance. A: Right eye fundus photography demonstrating cotton wool spots and intraretinal hemorrhage. B: Left eye fundus photography showing similar findings.
File history
Click on a date/time to view the file as it appeared at that time.
| Date/Time | Thumbnail | Dimensions | User | Comment | |
|---|---|---|---|---|---|
| current | 16:13, August 26, 2020 | 2,212 × 920 (3.67 MB) | Anne.Barmettler (talk | contribs) | Example of an ocular complications of filler injections: fundus photography of patient with vision decreased to 20/70 in the right eye and 20/200 in the left eye, demonstrating Purtscher-like retinopathy following a soft tissue gluteal injection of an... |
You cannot overwrite this file.
File usage
The following page uses this file:

