File:EM TM PSS.jpg
From EyeWiki
EM_TM_PSS.jpg (650 × 388 pixels, file size: 113 KB, MIME type: image/jpeg)
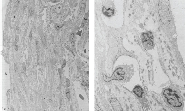
Harstad HK, Ringvold A. "Glaucomatocyclitic crises (Posner-Schlossman syndrome). A case report." Acta Ophthalmol (Copenh). Apr 1986;64(2):146-51
File history
Click on a date/time to view the file as it appeared at that time.
| Date/Time | Thumbnail | Dimensions | User | Comment | |
|---|---|---|---|---|---|
| current | 18:05, July 7, 2012 | 650 × 388 (113 KB) | Crystal.Hung (talk | contribs) | Harstad HK, Ringvold A. "Glaucomatocyclitic crises (Posner-Schlossman syndrome). A case report." Acta Ophthalmol (Copenh). Apr 1986;64(2):146-51 |
You cannot overwrite this file.
File usage
The following page uses this file:


