Glaucomatocyclitic Crisis (Posner-Schlossman Syndrome)
All content on Eyewiki is protected by copyright law and the Terms of Service. This content may not be reproduced, copied, or put into any artificial intelligence program, including large language and generative AI models, without permission from the Academy.
Posner-Schlossman Syndrome (PSS), also known as glaucomatocyclitic crisis, is a disease typified by acute, unilateral, recurrent attacks of elevated intraocular pressure (IOP) accompanied by mild anterior chamber inflammation. The pathophysiology is still unknown, although several theories have been proposed, ranging from autoimmune to infectious. Treatment management is focused on controlling the IOP and decreasing inflammation. While an attack usually resolves without sequelae, repeated attacks over time may lead to long-term glaucomatous damage (a secondary glaucoma).
Disease Entity
Disease
Posner and Schlossman first reported a series of 9 cases and coined the term glaucomatocyclitic crisis in 1948.[1] These patients experienced attacks of ocular hypertension that shared the following characteristics:[2]
- Unilateral
- Recurrent
- Mild discomfort or blurring of vision
- Increased IOP with open angles
- Mild anterior chamber reaction or fine white keratic precipitates (KPs)
- Crises lasting from several hours to weeks
- Normal IOP and no signs of uveitis between attacks
- Normal visual fields and optic discs
Epidemiology
PSS typically affects adults between the ages of 20 and 50 years, although a case of an affected 13-year-old has been reported.[3] The only study looking at population statistics came out of Finland and found an incidence of 0.4 and prevalence of 1.9/100,000.[4]
Pathology/Pathophysiology
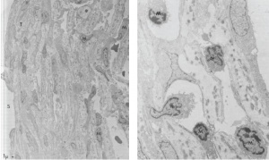
The exact pathophysiology of PSS is still unknown. However, one case of a patient with PSS who underwent trabeculectomy for uncontrolled IOP on medical therapy demonstrated the presence of mononuclear cells in the trabecular meshwork of an intraoperative specimen.[5] On electron microscopy, mononuclear cells were seen intercalated in the trabecular meshwork with long pseudopods, possibly impeding the outflow of aqueous (Figure 1). The origin of these mononuclear cells is still unknown.
See Possible Etiologies for further discussion.
Diagnosis
History
Patients usually present with unilateral blurred vision and mild eye discomfort or pain. Rare cases of a bilateral presentation have been reported.[6][7][8][9] In some cases, the patient may not experience any pain. Blurred vision or halos are usually associated with a mild corneal edema caused by elevated IOP. Patients may also endorse a history of prior episodes of blurred vision and eye discomfort that may be suggestive of prior attacks; these episodes can be months to years apart and last from several hours to weeks. The course is variable: some patients may only experience 1 or 2 episodes in their lifetime, whereas some have many recurrences. In general, the frequency of attacks decreases with increasing age. There is usually no inciting event or precursor to attacks.
Exam Findings
On exam, the vision can vary from 20/20 to hand motion or light perception depending on the amount of corneal epithelial edema, although the amount of edema is usually mild. The pupil is often slightly dilated or sluggish. The conjunctiva is usually white and quiet, although a mild ciliary flush may be present. There may be small-to-medium, discrete, round, white keratic precipitates on the endothelium, usually in an inferior distribution (Figure 2). The KPs usually resolve on their own or with anti-inflammatory treatment. The anterior chamber is deep with a mild iritis without significant cell or flare. In the past, iris atrophy or heterochromia was noted in some cases, but they are not currently considered a characteristic finding for PSS.
The IOP is often markedly elevated, usually 40-50 mm Hg. Characteristically, IOP elevation is out of proportion to the amount of anterior chamber inflammation, and significant corneal epithelial edema may develop. IOP elevation can last from several hours to weeks and may precede or follow the anterior chamber reaction.
An important criterion for diagnosis is an open angle on gonioscopy. Peripheral anterior synechiae (PAS) are generally not present despite the presence of anterior chamber inflammation. Early case series have noted the presence of angle abnormalities such as an anteriorly displaced Schwalbe line, prominent iris processes, or a fine membrane covering the trabecular meshwork, but these are not considered typical diagnostic features.[11][12]
The optic nerve can demonstrate acute glaucomatous cupping during an acute attack, as well as decreased perfusion due to the sharp rise in IOP. However, many patients present with normal-appearing nerves in an active episode. Cupping may reverse after the IOP returns to normal. In cases of repeated attacks over a long period of time, persistent glaucomatous cupping may be observed indicating some degree of permanent damage to the optic nerve.
Ancillary Testing
Iris angiograms performed during acute attacks demonstrate segmental iris ischemia, vascular congestion, and vessel leakage. Interestingly, in one case series, iris angiograms performed during the “prodromal phase” when IOP was not elevated also demonstrated focal iris ischemia.[13]
Optic nerve topography and flowmetry demonstrate transient differences in morphology and blood flow during attacks compared to before/after attacks. Cup volume and area measured by Heidelberg retinal tomography increase during an attack, but pre- and postattack measurements are comparable. Flowmetry may also demonstrate decreased optic nerve perfusion during an attack, particularly at the peripapillary temporal and nasal sectors, as well as at the level of the neuroretinal rim.[14]
Visual fields performed during an attack may demonstrate nonspecific changes, but in general, they remain normal following an attack. In patients who experience repeated attacks, permanent glaucomatous optic nerve damage with accompanying visual field changes can occur[7] and may be an indication for surgical intervention.
Laboratory Studies
If there is a strong suspicion for a uveitic glaucoma due to viral etiology, laboratory testing for herpes simplex virus (HSV), varicella-zoster virus (VZV), or cytomegalovirus (CMV) titers may be ordered. Viral polymerase chain reaction (PCR) studies for the same viruses may also be performed on an aqueous tap sample.
Associations
Primary Open-Angle Glaucoma
Up to a 45% concomitance between PSS and primary open-angle glaucoma (POAG) has been reported. Kass et al described a case series of 11 PSS patients, some of whom demonstrated persistent elevated IOP in the affected eye between episodes, as well as fellow eyes with an elevated IOP.[15] Five patients demonstrated typical glaucomatous visual field loss, and 4 developed glaucoma optic nerve change on follow-up.
It has also been suggested, however, that persistent IOP elevation during frequent, recurrent attacks may lead to the same changes.
Nonarteritic Anterior Ischemic Optic Neuropathy
Two cases of nonarteritic anterior ischemic optic neuropathy (NAION) associated with PSS have been reported in the literature.[16][17] Both patients had a history of hypertension, and one had a “crowded disc” optic nerve morphology. The presumed mechanism is decreased optic disc perfusion due to an acute rise in IOP. Some have suggested that use of prophylactic IOP-lowering drops may decrease the chance of NAION in these patients, however rare it may be.
Differential Diagnosis
| Entity | Differentiating Characteristics |
| Acute Angle-Closure Glaucoma | Narrow/closed angles on gonioscopy Significant pain and red eye May have significant PAS Mature cataract if pupillary block |
| Chronic Angle-Closure Glaucoma | Significant PAS on gonioscopy |
| Primary Open-Angle Glaucoma | Persistently elevated IOP without resolution Lack of anterior chamber inflammation Family history of POAG Glaucomatous-appearing optic nerves Older age |
| Ocular Hypertension | Persistently elevated IOP without resolution Lack of anterior chamber inflammation |
| Uveitic Glaucoma | Often chronic or more fulminant anterior chamber inflammation |
| Herpetic Iridocyclitis (HSV, VZV) | IOP may not be significantly elevated Sectoral/diffuse iris atrophy Stellate KPs, diffuse distribution More robust anterior chamber reaction Vesicular rash Dendritic ulcers |
| Fuchs Heterochromic Iridocyclitis | Iris heterochromia, diffuse atrophy Fine abnormal angle vessels on gonioscopy Posterior subcapsular cataract |
Management
Medical Therapy
Initial treatment is directed toward controlling IOP and decreasing inflammation. Typical first-line therapeutics include topical beta-blockers such as timolol, alpha-agonists such as brimonidine, and carbonic anhydrase inhibitors such as dorzolamide. Apraclonidine has also been advocated as a first-line agent.[18][19] Prostaglandin analogues may also be used and are effective for IOP control; however, they are not first line because there is evidence suggesting this class of medication might exacerbate inflammation. Oral carbonic anhydrase inhibitors are sometimes used acutely to quickly lower the IOP.
For control of inflammation a topical steroid drop is usually used, such as prednisolone acetate 1% qid, given the typically low level of inflammation. Topical nonsteroidal anti-inflammatory drugs (NSAIDs) may also be used. Oral NSAIDs such as indomethacin can also be used to avoid a possible steroid-induced glaucoma and for their antiprostaglandin properties, as elevated prostaglandin levels in the aqueous have been associated with attacks.[20]
Miotics and mydriatic agents are rarely used. In particular, pilocarpine should be avoided because it is thought to exacerbate a possible trabeculitis.
Surgical Therapy
When the IOP cannot be controlled using maximal medical therapy, surgical therapy may be considered, especially when signs of glaucomatous optic nerve damage or visual field changes appear.[21] One case series reported 8 patients with PSS who underwent trabeculectomy with mitomycin C for uncontrolled IOP and visual field defects. At the end of follow-up, all patients did not require IOP-lowering drops, and although a recurrence of iritis was noted in 2 patients, the IOP remained stable during the episodes.[22]
Follow-up
Patients should be followed daily until their IOP returns to baseline, then weekly as antiglaucoma drops and topical steroids are tapered. Well-educated and informed patients may also be able to initiate self-treatment with topical drops if they notice signs and symptoms of an impending or active attack, but they should also be instructed to follow up immediately with an ophthalmologist.
Prognosis
PSS has long been thought to be a “benign” disease; most patients are treated for attacks and recover without long-term sequelae. However, a number of patients with repeated attacks, even if treated, may show long-term glaucomatous changes in the optic nerve and on visual field testing.[7] It is thought that the total duration of elevated IOP, not the frequency of attacks, contributes to the damage. These patients may be candidates for surgical therapy as discussed above.
Possible Etiologies
A number of theories have been proposed regarding causative and/or contributory factors to PSS. Some are no longer considered accurate, but much work remains in elucidating the causative factor.
Autonomic Dysregulation
Posner and Schlossman first postulated that glaucomatocyclitic crisis was a result of autonomic dysregulation. They noted that 4 patients in their original 1948 case series also had a history of migraines.[1] In 1977, Raita and Vannas performed iris angiograms on a series of PSS patients; they found that not only was there focal iris ischemia during attacks but also ischemia during the prodromal normotensive phase.[13]
Allergy
Associations with allergic conditions were noted in early case series of PSS patients. The term glaucoma allergicum was first coined by Kraupa in 1935 when he described 4 cases of recurrent, unilateral inflammation and glaucoma.[23] In Posner and Schlossman’s original case series, 2 patients had hay fever, 2 had asthma, and 2 had concurrent urticaria on the same side of the face as the glaucoma, although the authors noted that their findings did not corroborate or disprove Kraupa’s theory.[1] Subsequent case series also noted pre- or coexisting allergic conditions in patients[24][25] and one reported case where the frequency and severity of attacks decreased with “injections” for ragweed and grass allergies.[26] In general, allergy is not currently considered a leading theory.
Variation of Developmental Glaucoma
Another theory that has fallen by the wayside is that PSS is a variant of developmental glaucoma. In early case series in the 1950s/60s, this theory was based on the observation of bilateral angle abnormalities on gonioscopy during attacks. Features such as abnormal iris processes, anteriorized Schwalbe line, and a “grey membrane” covering the trabecular meshwork have been described.[11][27][28] It is now generally agreed that the angle morphology is normal, without obvious abnormalities, and this theory has not been given much credence.
Vascular Endothelial Dysfunction
Similar to the theory of autonomic dysregulation, vascular endothelial dysfunction has also been proposed. This has been supported by evidence suggesting ciliary vascular abnormalities, such as focal iris ischemia and leakage from iris/ciliary blood vessels on angiogram during attacks. This is also based on the fact that other studies have shown abnormal flow-mediated vasodilation in other types of glaucoma.[29][30] A case series of 12 PSS patients by Shen et al demonstrated significant peripheral vascular endothelial dysfunction compared to an age-matched control group.[31] This underlying vascular endothelial abnormality may explain the propensity for glaucomatous optic nerve damage in the long run. While more work is being done in this area, possible future treatments, if this theory holds true, may seek to address endothelial dysfunction with cardiovascular therapies such aspirin, etc.
Autoimmune/HLA-Bw54
Prostaglandins have been implicated in uveitic conditions including glaucomatocyclitic crises. The level of evidence for this association, however, is limited to a few animal studies. The mechanism of IOP elevation in glaucomatocyclitic crises has been thought to be due to a decrease in outflow facility as well as an increase in aqueous production.[32] In animal models, prostaglandins have been shown to exacerbate breakdown of the blood-aqueous barrier, allowing inflammatory cells into the anterior chamber, leading to clogging of the trabecular meshwork. Elevated prostaglandin levels, particularly prostaglandin E2 (PGE2), have been found in the aqueous during attacks and levels positively correlate with IOP.[20][33] The same study also demonstrated an IOP-lowering effect with indomethacin treatment, a prostaglandin inhibitor.
One study of a Japanese cohort of 22 PSS patients found that 41% had the HLA-Bw54 haplotype versus 8% of controls.[34] HLA-Bw54 has also been implicated in Vogt-Koyanagi-Harada syndrome; it may be connected through linkage disequilibrium to a causative gene or indicate an underlying susceptibility to the syndrome. Interestingly, in this same study, HLA-Bw52 was found in 21% of controls, whereas none of the PSS cohort demonstrated HLA-Bw52 positivity, suggesting a protective effect of the haplotype.
Infectious
Helicobacter Pylori
An association between H pylori antibodies and anterior uveitis has been proposed in the past.[35] The 2 conditions also affect a similar age distribution. Knox first noted an association between PSS and peptic ulcer disease (PUD) in a case series of 32 patients, where 38% of females and 68% of males also had PUD versus a normal incidence of 5% and 10%-20%, respectively.[36] A prospective study also confirmed an association between the presence of anti–H pylori serum immunoglobulin G (IgG) and PSS.[37] It has been suggested that there may be some cross-reactivity or cross-antigenicity between intestinal mucosa and the contents of the anterior chamber or trabecular meshwork that may predispose PUD patients to PSS.
HSV/VZV
Both HSV and VZV have been proposed in the past as possible infectious culprits underlying PSS.[38] VZV was the first infectious agent proposed in 1985, with one study demonstrating an association between the level of varicella immunity and frequency of PSS attacks.[39] However, subsequent case series have failed to demonstrate this association in other tests, such as VZV PCR. One case series demonstrated HSV PCR positivity in aqueous samples collected during attacks,[40] but subsequent case series have failed to replicate these findings. Furthermore, acyclovir has been found to be ineffective in treating or preventing PSS.
CMV
Several studies have been published examining the possible role of CMV in PSS. Studies have found active CMV-antibody production occurring in a significant number of PSS patients,[41] and small case series/reports have suggested an association.[9][42][43][44] Larger-scale studies in Singaporean cohorts have supported an association between CMV and PSS,[10][45] and there have been some reports of response to and questionable prophylactic benefit of antiviral therapy specific to CMV, such as cidofovir, foscarnet, and valganciclovir.[9][42][43][44][46] It remains to be seen whether the response or prophylaxis achieved by these antivirals represents a true treatment response or the normal history of PSS, which by definition is self-resolving.
References
- ↑ 1.0 1.1 1.2 Posner A, Schlossman A. Syndrome of unilateral recurrent attacks of glaucoma with cyclitic symptoms. Arch Ophthal. 1948;39(4):517-535.
- ↑ Posner A, Schlossman A. Further observations on the syndrome of glaucomatocyclitic crisis. Trans Am Acad Ophthalmol Otolaryngol. 1953;57(4):531-536.
- ↑ Burnstein Y, Shelton K, Higginbotham EJ. Glaucomatocyclitic crisis in a child. Am J Ophthalmol. 1998;126(1):136-137.
- ↑ Paivonsalo-Hietanen T, Tuominen J, Vaahtoranta-Lehtonen H, Saari KM. Incidence and prevalence of different uveitis entities in Finland. Acta Ophthalmol Scand. 1997;75(1):76-81.
- ↑ 5.0 5.1 Harstad HK, Ringvold A. Glaucomatocyclitic crises (Posner-Schlossman syndrome). A case report. Acta Ophthalmol (Copenh). 1986;64(2):146-151.
- ↑ Levatin P. Glaucomatocyclitic crisis occurring in both eyes. Am J Ophthalmol. 1956;41(6):1056-1059.
- ↑ 7.0 7.1 7.2 7.3 Jap A, Sivakumar M, Chee SP. Is Posner Schlossman syndrome benign? Ophthalmology. 2001;108(5):913-918.
- ↑ Dinakaran S, Kayarkar V. Trabeculectomy in the management of Posner-Schlossman syndrome. Ophthalmic Surg Lasers. 2002;33(4):321-322.
- ↑ 9.0 9.1 9.2 Teoh SB, Thean L, Koay E. Cytomegalovirus in aetiology of Posner-Schlossman syndrome: evidence from quantitative polymerase chain reaction. Eye (Lond). 2005;19(12):1338-1340.
- ↑ 10.0 10.1 Chee SP, Bacsal K, Jap A, Se-Thoe SY, Cheng CL, Tan BH. Clinical features of cytomegalovirus anterior uveitis in immunocompetent patients. Am J Ophthalmol. 2008;145(5):834-840.
- ↑ 11.0 11.1 Hart CT, Weatherill JR. Gonioscopy and tonography in glaucomatocyclitic crises. Br J Ophthalmol. 1968;52(9):682-687.
- ↑ Gorin G. Developmental glaucoma: a concept based on correlation of gonioscopic findings with clinical manifestations. Am J Ophthalmol. 1964;58:572-580.
- ↑ 13.0 13.1 13.2 Raitta C, Vannas A. Glaucomatocyclitic crisis. Arch Ophthalmol. 1977;95(4):608-612.
- ↑ Darchuk V, Sampaolesi J, Mato L, Nicoli C, Sampaolesi R. Optic nerve head behavior in Posner-Schlossman syndrome. Int Ophthalmol. 2001;23(4-6):373-379.
- ↑ Kass MA, Becker B, Kolker AE. Glaucomatocyclitic crisis and primary open-angle glaucoma. Am J Ophthalmol. 1973;75(4):668-673.
- ↑ Kim R, Van Stavern G, Juzych M. Nonarteritic anterior ischemic optic neuropathy associated with acute glaucoma secondary to Posner-Schlossman syndrome. Arch Ophthalmol. 2003;121(1):127-128.
- ↑ Irak I, Katz BJ, Zabriskie NA, Zimmerman PL. Posner-Schlossman syndrome and nonarteritic anterior ischemic optic neuropathy. J Neuroophthalmol. 2003;23(4):264-267.
- ↑ Muthusamy P. Apraclonidine in the management of glaucomatocyclitic crisis. Eye (Lond). 1994;8(Pt 3):367-368.
- ↑ Hong C, Song KY. Effect of apraclonidine hydrochloride on the attack of Posner-Schlossman syndrome. Korean J Ophthalmol. 1993;7(1):28-33.
- ↑ 20.0 20.1 Masuda K, Izawa Y, Mishima S. Prostaglandins and glaucomatocyclitic crisis. Jpn J Ophthalmol. 1975;19:368-375.
- ↑ Hung PT, Chang JM. Treatment of glaucomatocyclitic crises. Am J Ophthalmol. 1974;77(2):169-172.
- ↑ Zhong Y, Cheng Y, Liu X, Feng P. Trabeculectomy in the management of glaucomatocyclitic crisis with visual field defect. Ocul Immunol Inflamm. 2010;18(3):233-236.
- ↑ Kraupa E. Die Drucksteigerung bei akuter Angioneurose des Ciliarkörpers ('Glaucoma allergicum') in ihren Beziehungen zum zyklitischen und Heterechromieglaukom. Arch Augenheilkd. 1936;109:416-433.
- ↑ Theodore FH. Observations on glaucomatocyclitic crises (Posner-Schlossman syndrome). Br J Ophthalmol. 1952;36(4):207-210.
- ↑ Posner A. The syndrome of glaucomatocyclitic crises. Eye Ear Nose Throat Mon. 1952;31(1):41-42.
- ↑ Kornzweig AL. Glaucomatous cyclitic crises. Am J Ophthalmol. 1953;36(1):123-124.
- ↑ Sokolic P. Another case with recurrent glaucomatocyclitic crisis and anomalies in chamber angle, observed during and between hypertensive episodes. Contribution to etiology. Acta Ophthalmol (Copenh). 1969;47(5):1129-1134.
- ↑ Sokolić P. Developmental factor in the etiopathogenesis of glaucomatocyclitic crisis. Ophthalmologica. 1970;161(5):446-450.
- ↑ Su WW, Cheng ST, Hsu TS, Ho WJ. Abnormal flow-mediated vasodilation in normal-tension glaucoma using a noninvasive determination for peripheral endothelial dysfunction. Invest Ophthalmol Vis Sci. 2006;47(8):3390-3394.
- ↑ Su WW, Cheng ST, Ho WJ, Tsay PK, Wu SC, Chang SH. Glaucoma is associated with peripheral vascular endothelial dysfunction. Ophthalmology. 2008;115(7):1173-1178.e1.
- ↑ Shen SC, Ho WJ, Wu SC, et al. Peripheral vascular endothelial dysfunction in glaucomatocyclitic crisis: a preliminary study. Invest Ophthalmol Vis Sci. 2010;51(1):272-276.
- ↑ Nagataki S, Mishima S. Aqueous humor dynamics in glaucomatocyclitic crisis. Invest Ophthalmol. 1976;15(5):365-370.
- ↑ Eakins KE. Increased intraocular pressure produced by prostaglandins E1 and E2 in the cat eye. Exp Eye Res. 1970;10(1):87-92.
- ↑ Hirose S, Ohno S, Matsuda H. HLA-Bw54 and glaucomatocyclitic crisis. Arch Ophthalmol. 1985;103(12):1837-1839.
- ↑ Otasevic L, Walduck A, Meyer TF, et al. Helicobacter pylori infection in anterior uveitis. Infection. 2005;33(2):82-85.
- ↑ Knox DL. Glaucomatocyclitic crises and systemic disease: peptic ulcer, other gastrointestinal disorders, allergy and stress. Trans Am Ophthalmol Soc. 1988;86:473-495.
- ↑ Choi CY, Kim MS, Kim JM, Park SH, Park KH, Hong C. Association between Helicobacter pylori infection and Posner-Schlossman syndrome. Eye (Lond). 2010;24(1):64-69.
- ↑ Takusagawa HL, Liu Y, Wiggs JL. Infectious theories of Posner-Schlossman syndrome. Int Ophthalmol Clin. 2011;51(4):105-115.
- ↑ Tanaka Y, Harion S, Hara J. Cellular immunity as judged by varicella skin test in Posner-Schlossman syndrome in patients. Folia Jpn. 1985;36:972-976.
- ↑ Yamamoto S, Pavan-Langston D, Tada R, et al. Possible role of herpes simplex virus in the origin of Posner-Schlossman syndrome. Am J Ophthalmol. 1995;119(6):796-798.
- ↑ Bloch-Michel E, Dussaix E, Cerqueti P, Patarin D. Possible role of cytomegalovirus infection in the etiology of the Posner-Schlossmann syndrome. Int Ophthalmol. 1987;11(2):95-96.
- ↑ 42.0 42.1 Markomichelakis NN, Canakis C, Zafirakis P, Marakis T, Mallias I, Theodossiadis G. Cytomegalovirus as a cause of anterior uveitis with sectoral iris atrophy. Ophthalmology. 2002;109(5):879-882.
- ↑ 43.0 43.1 de Schryver I, Rozenberg F, Cassoux N, et al. Diagnosis and treatment of cytomegalovirus iridocyclitis without retinal necrosis. Br J Ophthalmol. 2006;90(7):852-855.
- ↑ 44.0 44.1 Rodier-Bonifas C, Cornut PL, Billaud G, Lina B, Burillon C, Denis P. Cytomegalovirus research using polymerase chain reaction in Posner-Schlossman syndrome. J Fr Ophtalmol. 2011;34(1):24-29.
- ↑ Chee SP, Jap A. Presumed fuchs heterochromic iridocyclitis and Posner-Schlossman syndrome: comparison of cytomegalovirus-positive and negative eyes. Am J Ophthalmol. 2008;146(6):883-889.e1.
- ↑ Chee SP, Jap A. Cytomegalovirus anterior uveitis: outcome of treatment. Br J Ophthalmol. 2010;94(12):1648-1652.

