File:West african.jpg
From EyeWiki
West_african.jpg (336 × 359 pixels, file size: 48 KB, MIME type: image/jpeg)
Summary
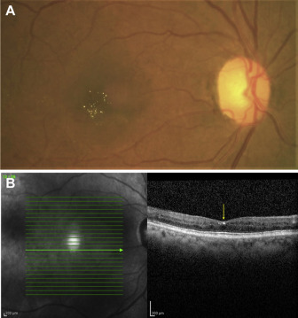
Figure A demonstrates a fundus photo of West African Crystalline Retinopathy. Figure B demonstrates an OCT through hyperreflective crystals in the inner retinal layers
File history
Click on a date/time to view the file as it appeared at that time.
| Date/Time | Thumbnail | Dimensions | User | Comment | |
|---|---|---|---|---|---|
| current | 11:00, December 26, 2022 | 336 × 359 (48 KB) | Gina.pham (talk | contribs) | Figure A demonstrates a fundus photo of West African Crystalline Retinopathy. Figure B demonstrates an OCT through hyperreflective crystals in the inner retinal layers |
You cannot overwrite this file.
File usage
The following page uses this file:


