File:TED1B.jpg
From EyeWiki
TED1B.jpg (318 × 147 pixels, file size: 9 KB, MIME type: image/jpeg)
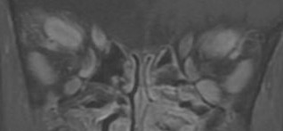
Figure 1B: MRI coronal image demonstrating enlarged EOM associated with TED Image courtesy of Dr. Rona Z Silkiss
File history
Click on a date/time to view the file as it appeared at that time.
| Date/Time | Thumbnail | Dimensions | User | Comment | |
|---|---|---|---|---|---|
| current | 20:12, November 18, 2021 | 318 × 147 (9 KB) | Nicole.jedrzynski (talk | contribs) |
You cannot overwrite this file.
File usage
The following page uses this file:


