File:Stage 1 cotton ball sign .jpg
From EyeWiki
Size of this preview: 800 × 150 pixels. Other resolution: 3,223 × 603 pixels.
Original file (3,223 × 603 pixels, file size: 232 KB, MIME type: image/jpeg)
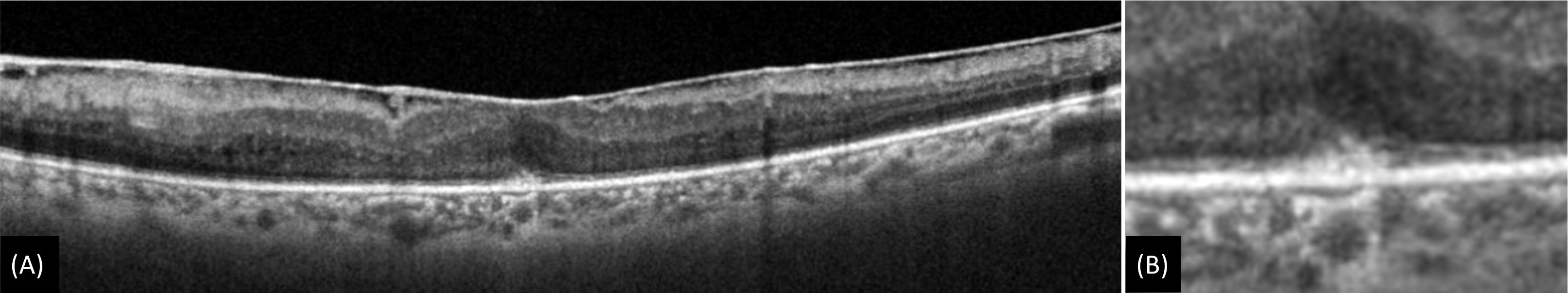
Figure 3: (A) Epiretinal membrane with cotton ball sign which is characterized by small, fuzzy subfoveal hyperreflective area between the inner segment ellipsoid zone (EZ) and the interdigitation zone (IZ). (B) Magnified image
File history
Click on a date/time to view the file as it appeared at that time.
| Date/Time | Thumbnail | Dimensions | User | Comment | |
|---|---|---|---|---|---|
| current | 09:59, May 31, 2023 | 3,223 × 603 (232 KB) | Kushal.Delhiwala (talk | contribs) |
You cannot overwrite this file.
File usage
The following page uses this file:

