File:Stacy Pineles Wiki Woman.jpg
From EyeWiki
Size of this preview: 800 × 433 pixels. Other resolution: 1,653 × 894 pixels.
Original file (1,653 × 894 pixels, file size: 604 KB, MIME type: image/jpeg)
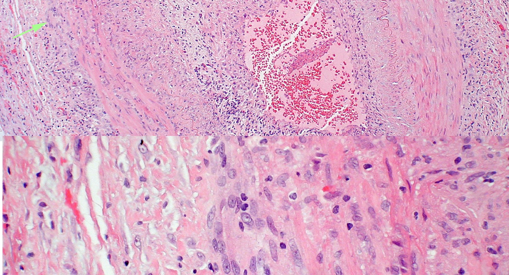
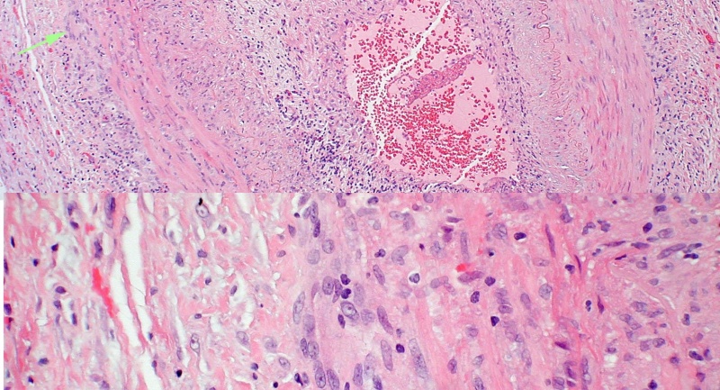
Pathologic specimen from a patient with biopsy proven giant cell arteritis. Multi-nucleated giant cells (arrow) are present in the vessel wall. Photograph courtesy of Ben Glasgow, M.D.
File history
Click on a date/time to view the file as it appeared at that time.
| Date/Time | Thumbnail | Dimensions | User | Comment | |
|---|---|---|---|---|---|
| current | 10:32, July 2, 2010 | 1,653 × 894 (604 KB) | Stacy.l.pineles.cmt (talk | contribs) | Pathologic specimen from a patient with biopsy proven giant cell arteritis. Multi-nucleated giant cells (arrow) are present in the vessel wall. Photograph courtesy of Ben Glasgow, M.D. |
You cannot overwrite this file.
File usage
The following page uses this file:

