File:SClowpower.jpg
From EyeWiki
SClowpower.jpg (534 × 458 pixels, file size: 82 KB, MIME type: image/jpeg)
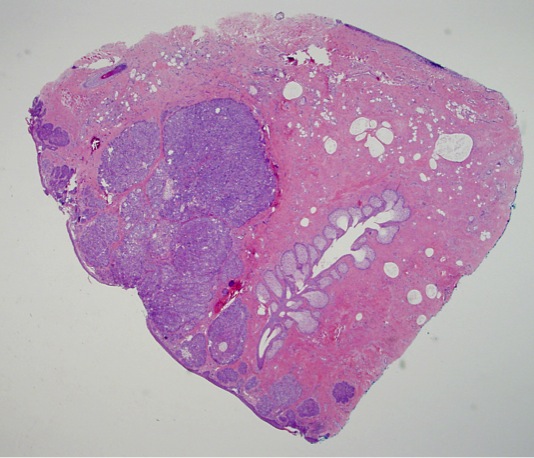
Low power microscopy: eyelid margin with normal sebaceous glands at the inferior margin, the invasive sebaceous carcinoma, and a hair follicle in between. Image contributed by Evan Silverstein, MD and Louise Mawn, MD
File history
Click on a date/time to view the file as it appeared at that time.
| Date/Time | Thumbnail | Dimensions | User | Comment | |
|---|---|---|---|---|---|
| current | 20:42, November 27, 2012 | 534 × 458 (82 KB) | Evan.Silverstein (talk | contribs) | Low power microscopy: eyelid margin with normal sebaceous glands at the inferior margin, the invasive sebaceous carcinoma, and a hair follicle in between. Image contributed by Evan Silverstein, MD and Louise Mawn, MD |
You cannot overwrite this file.
File usage
The following page uses this file:


