File:Pneumosinus dilatans bilateral frontal sinuses.jpg
From EyeWiki
Pneumosinus_dilatans_bilateral_frontal_sinuses.jpg (640 × 320 pixels, file size: 102 KB, MIME type: image/jpeg)
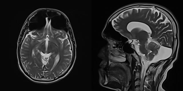
Magnetic resonance imaging (MRI; T2 sequence) of a patient with bilateral pneumosinus dilatans of the frontal sinuses. This is characterized by dilated, hyperaerated sinuses without thinning of the bony walls. Case courtesy of Dr Huda B. Gharbia, Radiopaedia.org. From the case rID: 74465. https://radiopaedia.org/cases/74465?lang=us
File history
Click on a date/time to view the file as it appeared at that time.
| Date/Time | Thumbnail | Dimensions | User | Comment | |
|---|---|---|---|---|---|
| current | 14:21, May 4, 2022 | 640 × 320 (102 KB) | Chaow.Charoenkijkajorn (talk | contribs) |
You cannot overwrite this file.
File usage
The following page uses this file:


