File:Pearce Figure 1.jpg
From EyeWiki
Size of this preview: 692 × 600 pixels. Other resolutions: 2,362 × 2,048 pixels | 2,615 × 2,267 pixels.
Original file (2,615 × 2,267 pixels, file size: 1.19 MB, MIME type: image/jpeg)
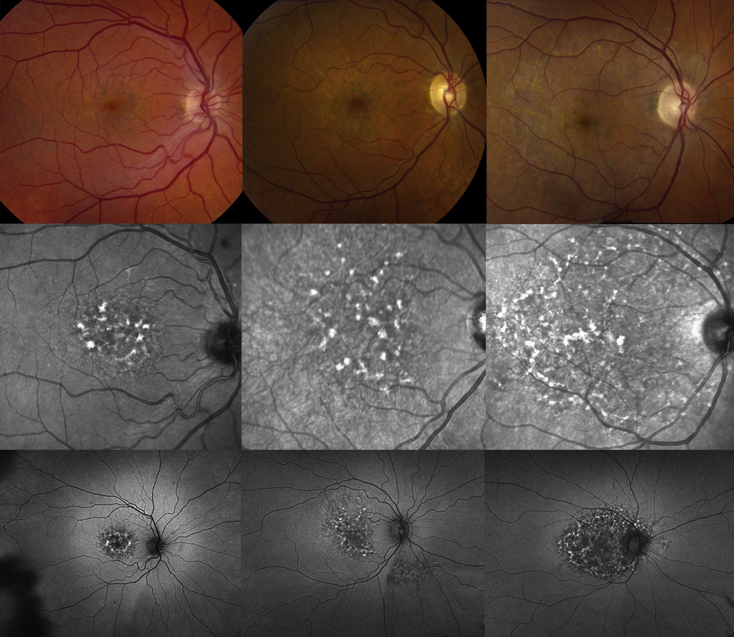
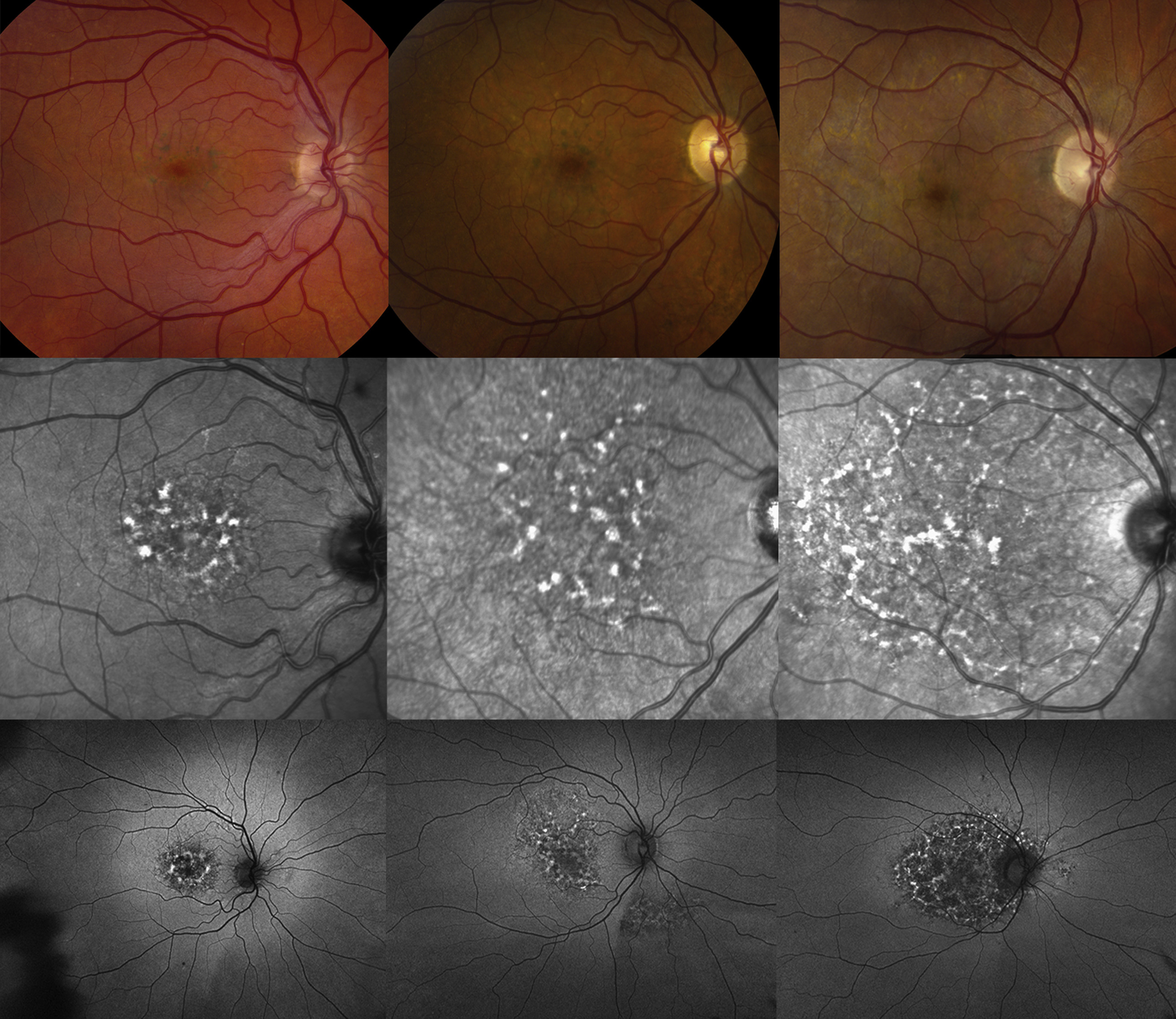
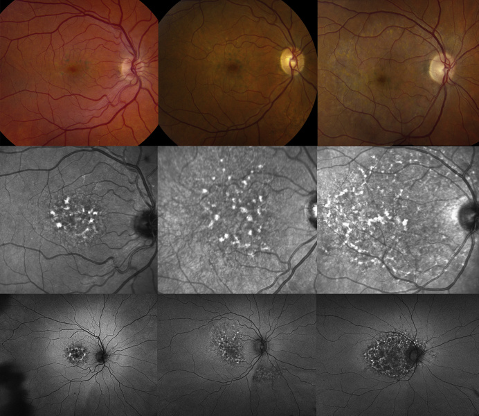
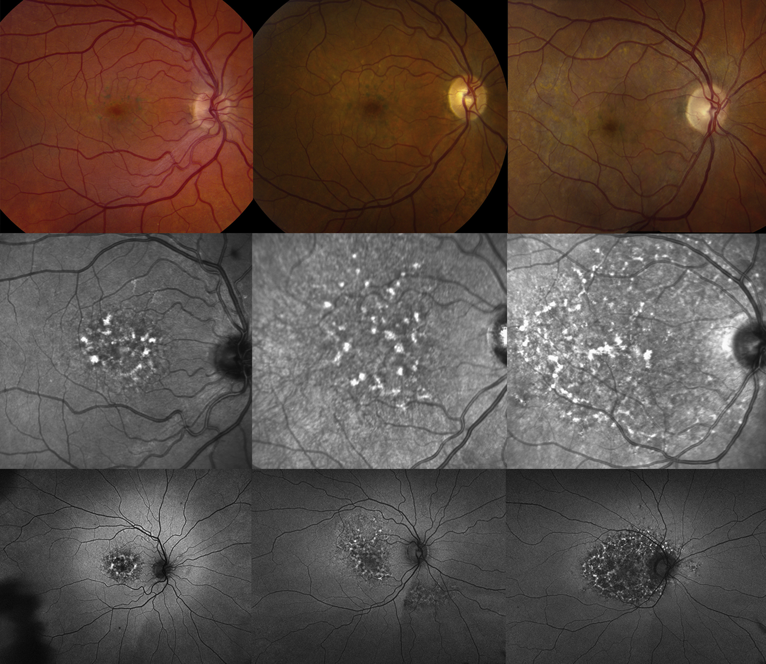
Disease spectrum in pentosan polysulfate maculopathy shown via color fundus photography (top row), near infrared reflectance imaging (middle row), and fundus autofluorescent imaging (bottom row). Part 1 of 2 of this complete figure.
File history
Click on a date/time to view the file as it appeared at that time.
| Date/Time | Thumbnail | Dimensions | User | Comment | |
|---|---|---|---|---|---|
| current | 12:22, January 22, 2021 | 2,615 × 2,267 (1.19 MB) | Nieraj.Jain (talk | contribs) | Disease spectrum in pentosan polysulfate maculopathy shown via color fundus photography (top row), near infrared reflectance imaging (middle row), and fundus autofluorescent imaging (bottom row). Part 1 of 2 of this figure. Reprinted with permission fr... | |
| 05:33, January 22, 2021 | 2,615 × 2,267 (1.19 MB) | Nieraj.Jain (talk | contribs) | Disease spectrum in pentosan polysulfate maculopathy shown via color fundus photography (top row), near infrared reflectance imaging (middle row), and fundus autofluorescent imaging (bottom row). Part 1 of 2 of this complete figure. |
You cannot overwrite this file.
File usage
The following page uses this file:

