File:OCT BRVO no 3rd hrb.png
From EyeWiki
Size of this preview: 800 × 564 pixels. Other resolution: 1,233 × 869 pixels.
Original file (1,233 × 869 pixels, file size: 866 KB, MIME type: image/png)
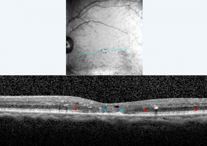
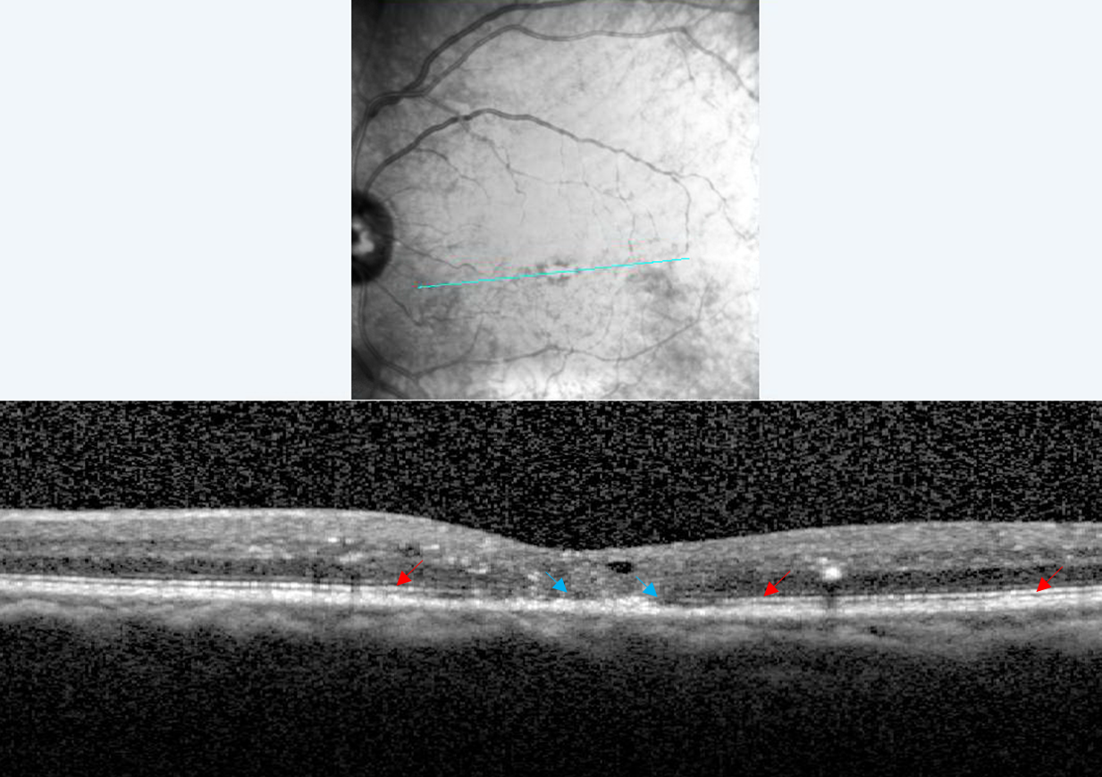
Optical coherence tomography image of horizontal sections of the fovea with mostly resolved macular edema. The third high reflectance band (red arrow) is continuous in the parafoveal region and discontinuous in the fovea (blue arrow).
File history
Click on a date/time to view the file as it appeared at that time.
| Date/Time | Thumbnail | Dimensions | User | Comment | |
|---|---|---|---|---|---|
| current | 20:03, November 24, 2015 | 1,233 × 869 (866 KB) | Musa.Abdelaziz (talk | contribs) | Optical coherence tomography image of horizontal sections of the fovea with mostly resolved macular edema. The third high reflectance band (red arrow) is continuous in the parafoveal region and discontinuous in the fovea (blue arrow). |
You cannot overwrite this file.
File usage
The following page uses this file:

