File:NXG Figure 1A.png
From EyeWiki
NXG_Figure_1A.png (774 × 583 pixels, file size: 1.05 MB, MIME type: image/png)
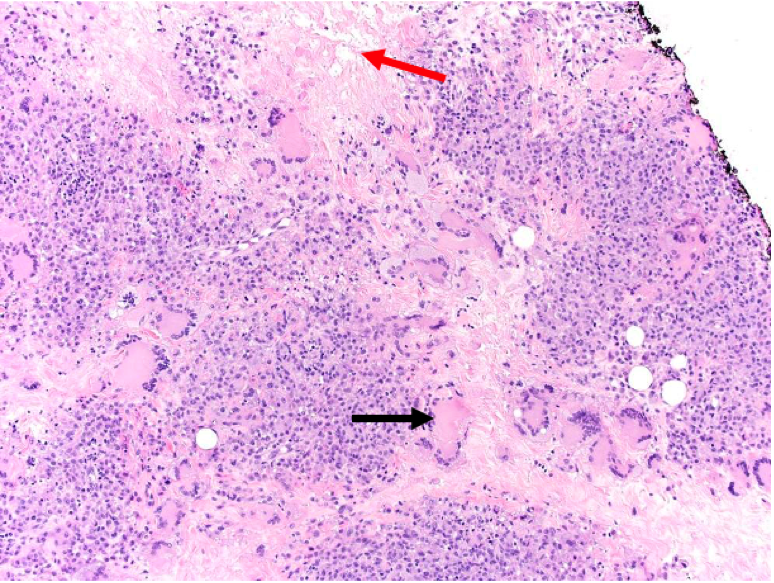
Figure 1A. Histopathology of NXG lesions reveals an infiltrate of foamy histiocytes (black arrow) in the dermis surrounding broad areas of necrobiosis (collagen degeneration) (red arrow) (H&E, 50x).
File history
Click on a date/time to view the file as it appeared at that time.
| Date/Time | Thumbnail | Dimensions | User | Comment | |
|---|---|---|---|---|---|
| current | 07:34, November 29, 2021 | 774 × 583 (1.05 MB) | Justin.Yamanuha (talk | contribs) |
You cannot overwrite this file.
File usage
The following page uses this file:


