File:Final initial.png
From EyeWiki
Size of this preview: 800 × 445 pixels. Other resolution: 919 × 511 pixels.
Original file (919 × 511 pixels, file size: 273 KB, MIME type: image/png)
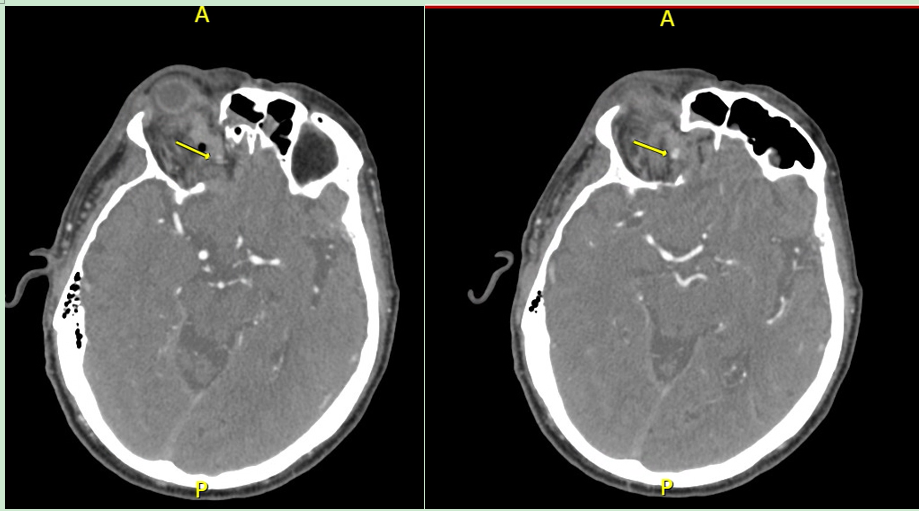
This is the Initial CT Head Angiogram that captured OAPA (red arrow): Patient on warfarin initially presented to the ED after tripping and falling with positive head strike against cement pavement. Trauma team noted pulsatile hematoma and proptosis of the right orbit. OAPA started to appear 24 hours after initial resuscitation at the trauma bay. Note patient also had a subdural hematoma with midline shift. Radiology noted 2 small foci of contrast in the right superomedial orbit with possible active extravasation.
File history
Click on a date/time to view the file as it appeared at that time.
| Date/Time | Thumbnail | Dimensions | User | Comment | |
|---|---|---|---|---|---|
| current | 08:25, November 25, 2023 | 919 × 511 (273 KB) | Yanhan.Ren (talk | contribs) |
You cannot overwrite this file.
File usage
The following page uses this file:

