File:FAF geographic atrophy .png
From EyeWiki
Size of this preview: 800 × 389 pixels. Other resolution: 2,547 × 1,240 pixels.
Original file (2,547 × 1,240 pixels, file size: 2.39 MB, MIME type: image/png)
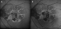
Progression of dry age-related macular degeneration on blue lightshort-wavelength fundus autofluorescence (Spectralis). (A) Left fundus of a patient with geographic atrophy showing hypo-AF patches representing areas of geographic atrophy surrounded by hyper-AF representing areas with sick retinal pigment epithelium. (B) Progression of geographic atrophy represented by expanding areas of hypo-AF.
File history
Click on a date/time to view the file as it appeared at that time.
| Date/Time | Thumbnail | Dimensions | User | Comment | |
|---|---|---|---|---|---|
| current | 15:17, September 1, 2021 | 2,547 × 1,240 (2.39 MB) | Cameron.Pole (talk | contribs) |
You cannot overwrite this file.
File usage
The following page uses this file:

