File:Eye after PK for keloid removal.jpg
From EyeWiki
Eye_after_PK_for_keloid_removal.jpg (479 × 339 pixels, file size: 29 KB, MIME type: image/jpeg)
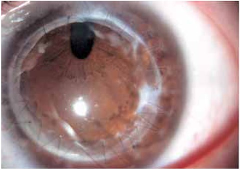
Figure 10 Slit-lamp photograph of small opacities along sutures after penetrating keratoplasty with preserved integrity of central cornea at 18 months after surgery. Reproduced from Song et al. Licensed under CC BY-NC 3.0. Song J-S, Kwon S, Shyn K-H. A Case of Congenital Corneal Keloid. Korean J Ophthalmol 2005;19(2):156-59
File history
Click on a date/time to view the file as it appeared at that time.
| Date/Time | Thumbnail | Dimensions | User | Comment | |
|---|---|---|---|---|---|
| current | 15:05, September 15, 2017 | 479 × 339 (29 KB) | Frank.S.Hwang (talk | contribs) | Figure 10 Slit-lamp photograph of small opacities along sutures after penetrating keratoplasty with preserved integrity of central cornea at 18 months after surgery. Reproduced from Song et al. Licensed under CC BY-NC 3.0. Song J-S, Kwon S, Shyn K-H. A... |
You cannot overwrite this file.
File usage
The following page uses this file:


