File:CT Orbit of Panophthalmitis.png
From EyeWiki
Size of this preview: 800 × 471 pixels. Other resolution: 1,612 × 950 pixels.
Original file (1,612 × 950 pixels, file size: 2.03 MB, MIME type: image/png)
Summary
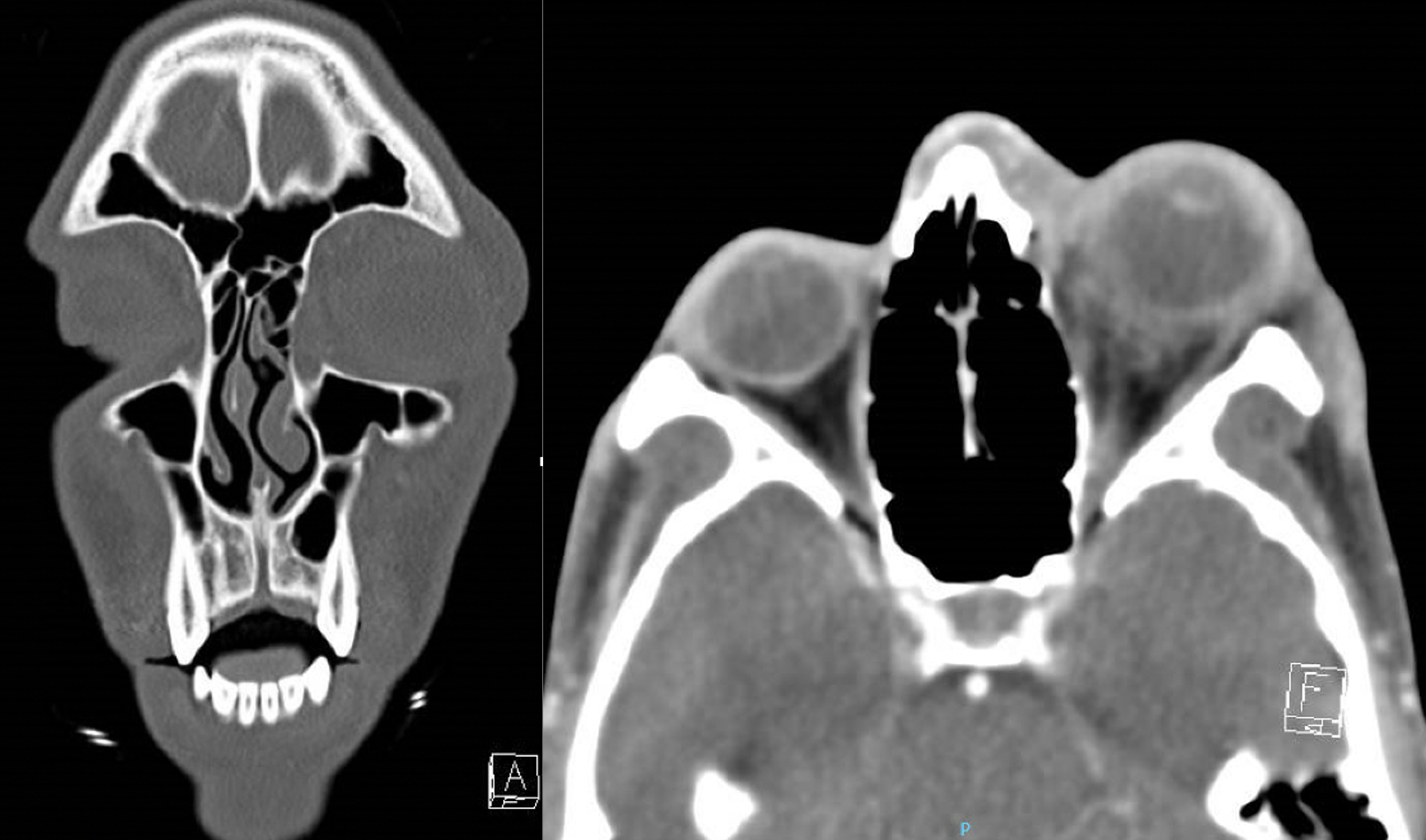
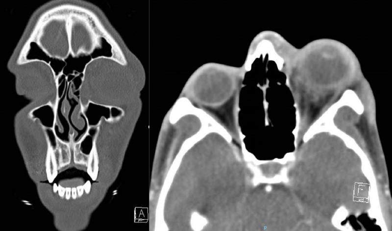
Computed Tomography of the Orbit at presentation Left (Coronal), Right (Axial) revealing fat stranding without any visible scleral abscess at presentation.
File history
Click on a date/time to view the file as it appeared at that time.
| Date/Time | Thumbnail | Dimensions | User | Comment | |
|---|---|---|---|---|---|
| current | 14:31, April 27, 2023 | 1,612 × 950 (2.03 MB) | Fabliha.Anbar (talk | contribs) | Computed Tomography of the Orbit at presentation Left (Coronal), Right (Axial) revealing fat stranding without any visible scleral abscess at presentation. |
You cannot overwrite this file.
File usage
The following page uses this file:

