File:Angle recession.jpg
From EyeWiki
Size of this preview: 800 × 600 pixels. Other resolution: 1,024 × 768 pixels.
Original file (1,024 × 768 pixels, file size: 1.14 MB, MIME type: image/jpeg)
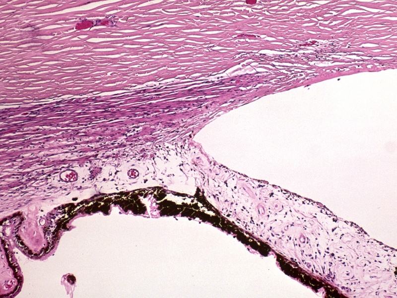
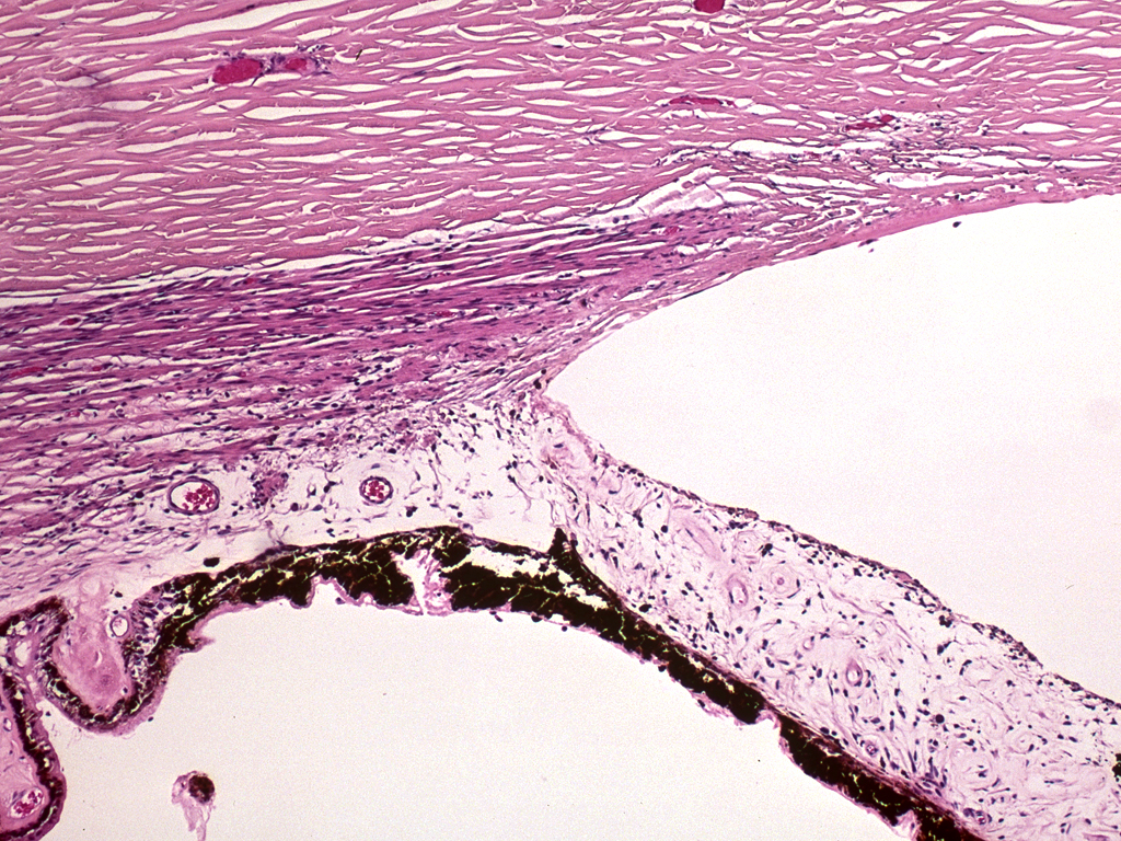
Pathology slide of patient with angle recession glaucoma. The patient also had pseudoexfoliation. Courtesy of Ralph C. Eagle MD.
File history
Click on a date/time to view the file as it appeared at that time.
| Date/Time | Thumbnail | Dimensions | User | Comment | |
|---|---|---|---|---|---|
| current | 05:09, May 9, 2014 | 1,024 × 768 (1.14 MB) | Jason.Brenner (talk | contribs) | Pathology slide of patient with angle recession glaucoma. The patient also had pseudoexfoliation. Courtesy of Ralph C. Eagle MD. |
You cannot overwrite this file.
File usage
The following 2 pages use this file:

