File:ADEM figure 1.jpeg
From EyeWiki
ADEM_figure_1.jpeg (714 × 398 pixels, file size: 52 KB, MIME type: image/jpeg)
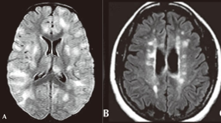
(A) Axial FLAIR sequence showing bilateral, globular, hyperintense lesions in cortical gray matter, centrum semiovale, and deep gray nuclei. (B) Axial FLAIR sequence showing ovoid, periventricular hyperintensities typical of MS plaques. Lee, Y. J. Acute disseminated encephalomyelitis in children: differential diagnosis from multiple sclerosis on the basis of clinical course. Korean J. Pediatr. 54, 234–240 (2011).
File history
Click on a date/time to view the file as it appeared at that time.
| Date/Time | Thumbnail | Dimensions | User | Comment | |
|---|---|---|---|---|---|
| current | 14:18, November 2, 2018 | 714 × 398 (52 KB) | Ore-ofe.Adesina (talk | contribs) | (A) Axial FLAIR sequence showing bilateral, globular, hyperintense lesions in cortical gray matter, centrum semiovale, and deep gray nuclei. (B) Axial FLAIR sequence showing ovoid, periventricular hyperintensities typical of MS plaques. Lee, Y. J. Acut... |
You cannot overwrite this file.
File usage
The following page uses this file:


