Empty Sella Syndrome
All content on Eyewiki is protected by copyright law and the Terms of Service. This content may not be reproduced, copied, or put into any artificial intelligence program, including large language and generative AI models, without permission from the Academy.
Ophthalmologists should be aware of ESS in patients with ophthalmic complaints. PESS may be asymptomatic. SESS is often associated with treatment of a sellar lesion or increased intracranial pressure and the ophthalmic exam in these cases may show a visual field defect (e.g., bitemporal hemianopsia), optic atrophy, or papilledema.
Disease Entity
Disease
Empty Sella Syndrome (ESS) is an anatomical condition characterized by an apparent lack of pituitary tissue contained within the sella turcica. This condition results from herniation of cerebrospinal fluid (CSF) into the sella, thereby compressing the pituitary gland above the sellar floor.[1]
Classification
ESS can be further categorized as either primary empty sella syndrome (PESS) or secondary empty sella syndrome (SESS). PESS was first described by Busch in 1951 through the examination of autopsies of patients with flattened pituitary glands and no known history of pituitary disease.[1][2] PESS is an idiopathic condition often diagnosed through radiographic finding. In contrast to PESS, SESS results from an initial primary cause.
Another feature of both PESS and SESS is the amount of CSF filling the sella turcica relative to the remaining pituitary gland. A partially empty sella is defined as a sella filled with less than 50% of CSF with pituitary tissue measuring ≥ 3 mm on imaging. If the CSF fills over half of the sella turcica and the pituitary tissue measures to be ≤2 mm, then it is characterized as a complete empty sella.[3]
Etiology
Less common than SESS, PESS is an idiopathic disorder that occurs most often from CSF herniating into the sella turcica presumably due to an incompetent diaphragma sellae (an extension of dura that normally covers the sella turcica, allowing the infundibulum to extend to the hypothalamus above).[1] This diaphragmatic incompetence can be found in up to 20% of normal population and is a fairly common incidental radiographic finding.[3] In contrast to PESS, SESS is a secondary disorder resulting from an underlying cause such as a treated pituitary tumor (most commonly trans-sphenoidal surgery). Other causes of SESS include elevated intracranial pressure including but not limited to pseudotumor cerebri, apoplexy (e.g., Sheehan syndrome), sellar radiation, pituitary infection, or pituitary autoimmune disease.[1] [3][4]
Risk Factors
Risk factors for ESS include injury to the pituitary gland itself or the competency of the sella turcica. Factors that cause stress to the bony structure such as intracranial hypertension and obesity increase risk.[1] Patients receiving treatment for a pituitary adenoma are at a greater risk for SESS as well as postpartum woman due to pituitary gland regression (Sheehan syndrome) or lymphocytic hypophysitis.[4] ESS has also been associated with lactation and menopause.[1] Females are nearly five times more likely to have ESS than males and the peak incidence of PESS is around 30-40 years.[1] Therefore, middle-aged obese women with hypertension that are multiparous are likely at a greater risk for PESS.
General Pathology
ESS is characterized radiographically by a flattening of the pituitary gland along the sellar floor often in a semi-lunate morphology, with an elongated and midline pituitary stalk and herniation of subarachnoid space into the often thickened sella turcica.[1] Two factors that define PESS pathology are (1) increased intracranial CSF pressure and (2) defects of the sellar diaphragm.[4]
Diagnosis
History
While patients with PESS often have an unremarkable past medical history, the most common symptom of ESS is a nonspecific headache. However, it should be noted that a direct correlation has not yet been found between ESS and headache presentation, so this may very well be an incidental finding.[4] Another presentation of ESS is visual field defect. While most cases of visual field defect are seen with SESS, possible visual field disturbances are associated with PESS in up to 16% of cases.[5] A patient with ESS, most commonly SESS, may also present with associated abnormalities such as rhinorrhea, irregular menstruation, and infertility.[1] [6]
Physical Examination
Most often PESS is discovered incidentally on neuroimaging while evaluating for other conditions.[4] A complete ophthalmologic exam including visual field must be considered in SESS. Bitemporal hemianopsia may occur due to chiasmal herniation. Less commonly, postsellar lesion treatment related changes can lead to SESS and an atrophic or anatomically distorted chiasmal bar may be seen.[6] Other visual field defects include binasal hemianopia, arcuate scotoma, field constriction, central scotoma, junctional visual field defects (junctional scotoma or junctional scotoma of Traquair) or an enlarged blind spot.[7] The disorder can also include worsened visual acuity, blurred vision, diplopia, defect in the oculomotor nerve, tunnel vision, quadrantanopia, optical neuritis and CSF rhinorrhea.[1][4] Endocrine findings include growth hormone deficiency, hypopituitarism, and hyperprolactinemia.[3] [4]
Diagnostic Procedures
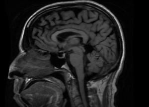
Diagnosis of ESS is most often with radiographic visualization of the findings through CT or MRI imaging of the brain and orbit with and without contrast [8](Figure 1). A normal midline pituitary stalk distinguishes the lesion from an arachnoid cyst.[9] With incidental findings in an asymptomatic patient (PESS), secondary causes need to be considered (SESS). Hormone testing may be considered for both symptomatic and asymptomatic patients due to the prevalence of hypopituitarism.[3] These include measuring cortisol, free thyroxine, estradiol or testosterone, insulin like growth factor 1 (IGF-1), and prolactin levels.[3]
Differential diagnosis [3][8]
- Arachnoid cyst
- Craniopharyngiomas
- Epidermoid
- Pseudotumor Cerebri
- Pos-pituitary apoplexy (e.g., Sheehan Syndrome)
- Rathke cleft cyst
- Cystic pituitary adenoma
Management
An endocrinological, neurological and ophthalmological evaluation may be considered for patients that present with ESS.[5] Surgery may be indicated in some cases of ESS where visual worsening occurs, including chiasmopexy.[2]
References
- ↑ 1.0 1.1 1.2 1.3 1.4 1.5 1.6 1.7 1.8 1.9 Chiloiro, S., Giampietro, A., Bianchi, A., Tartaglione, T., Capobianco, A., Anile, C., & De Marinis, L. (2017). DIAGNOSIS OF ENDOCRINE DISEASE: Primary empty sella: a comprehensive review, European Journal of Endocrinology, 177(6), R275-R285. Retrieved May 12, 2020, from https://eje.bioscientifica.com/view/journals/eje/177/6/EJE-17-0505.xml
- ↑ 2.0 2.1 Barzaghi, L., Donofrio, C., Panni, P., Losa, M., & Mortini, P. (2018). Treatment of empty sella associated with visual impairment: a systematic review of chiasmapexy techniques. Pituitary, 21(1), 98–106. https://doi.org/10.1007/s11102-017-0842-6
- ↑ 3.0 3.1 3.2 3.3 3.4 3.5 3.6 Auer, M. K., Stieg, M. R., Crispin, A., Sievers, C., Stalla, G. K., & Kopczak, A. (2018). Primary Empty Sella Syndrome and the Prevalence of Hormonal Dysregulation. Deutsches Arzteblatt international, 115(7), 99–105. https://doi.org/10.3238/arztebl.2018.0099
- ↑ 4.0 4.1 4.2 4.3 4.4 4.5 4.6 Guitelman, M., Garcia Basavilbaso, N., Vitale, M., Chervin, A., Katz, D., Miragaya, K., … Guitelman, M. (2013). Primary empty sella (PES): a review of 175 cases. Pituitary, 16(2), 270–274. https://doi.org/10.1007/s11102-012-0416-6
- ↑ 5.0 5.1 Laura De Marinis, Stefania Bonadonna, Antonio Bianchi, Giulio Maira, Andrea Giustina, Primary Empty Sella, The Journal of Clinical Endocrinology & Metabolism, Volume 90, Issue 9, 1 September 2005, Pages 5471–5477, https://doi.org/10.1210/jc.2005-0288
- ↑ 6.0 6.1 Charteris, G., & Cullen, F. (1996). Binasal Field Defects in Primary Empty Sella Syndrome. Journal of Neuro-Ophthalmology, 16(2), 110–114. https://doi.org/10.1097/00041327-199606000-00006
- ↑ Aydin, P. (1999). Primary empty sella: cause of visual failure or chance association? Eye (London, England), 13 ( Pt 4), 605.
- ↑ 8.0 8.1 Al Othman, B., Raabe, J., Kini, A., & Lee, A. (2020). Neuroradiology for ophthalmologists. Eye (London, England). https://doi.org/10.1038/s41433-019-0753-z
- ↑ Mazumdar, A. (2006). Imaging of the pituitary and sella turcica. Expert Review of Anticancer Therapy, 6(9s), S15–S22. https://doi.org/10.1586/14737140.6.9s.S15

