Acute Posterior Multifocal Placoid Pigment Epitheliopathy
All content on Eyewiki is protected by copyright law and the Terms of Service. This content may not be reproduced, copied, or put into any artificial intelligence program, including large language and generative AI models, without permission from the Academy.
Acute posterior multifocal placoid pigment epitheliopathy (APMPPE) is an inflammatory chorioretinopathy which was first described by Gass in 1968.[1] It is classified as a White Dot Syndrome or Choriocapillaris Disease and is uncommon, with an estimated incidence of 0.15 cases per 100,000 persons.[2][3][4] APMPPE is usually bilateral, affects women and men equally, has a tendency to occur between the 2nd to 4th decades, and can have associated systemic conditions. The most common complaint is blurred vision with central or paracentral scotomas, which may be associated with a flu-like prodrome and headache. Other visual symptoms can include photopsias and metamorphopsia. The classic finding on dilated fundus exam is creamy yellow or grey-white placoid lesions at the level of the retinal pigment epithelium (RPE) in the posterior pole.[5] Cases are often self-limited and visual symptoms resolve by 4 to 8 weeks. There is no consensus on treatment; however, steroids have been utilized to hasten visual recovery, especially in cases with macular involvement or with neurological symptoms due to a risk for comorbid cerebral vasculitis.[6] Recurrence is rare, but typically has been associated with worse prognosis, and a diagnosis of relentless placoid chorioretinitis should be considered if persistent beyond 6 months.[3]
Disease Entity
Disease
In 1968, Gass first described APMPPE by presenting the clinical and fluorescein angiography findings in three young females with bilateral central vision loss.[1]
Etiology
Several hypotheses regarding the underlying etiology for APMPPE have been proposed. In its original description in 1968, Gass chose the term "Pigment Epitheliopathy" to reflect what he thought was the tissue most significantly affected.[1] Following the development of fundus fluorescein angiography, Van Buskirk et al[7] and Deutman et al[8] proposed choriocapillaris ischemia as the more likely primary etiology. However, a direct neurotropic infection hypothesis has recently been proposed by Steptoe et al.[9] In contrast to a primary choriocapillaris pathology, changes within the retinal nerve fiber layer were demonstrated to occur prior to changes within the outer retina, and the occurrence of axonal spheroids described to occur along the unmyelinated photoreceptor axons which constitute the Henle fiber layer.[9]
Risk Factors
Approximately 33% of patients report a preceding viral or flu-like illness prior to APMPPE symptom onset.[1][10] APMPPE has been described in cases of thyroiditis, erythema nodosum, granulomatosis with polyangiitis, polyarteritis nodosa, nephritis, sarcoidosis, scleritis, ulcerative colitis, central nervous system (CNS) vasculitis, and post-vaccination.[11][12] Culprit vaccinations may include polio, tetanus, varicella, hepatitis A, hepatitis B, meningococcal C, yellow fever, typhoid, and influenza.[13] Other infectious associations include group A streptococcus, adenovirus-5, influenza, coxsackie-B, influenza, hepatitis B, Lyme disease, mumps, and tuberculosis. Genetics may play a role in an individual’s risk for APMPPE as several associations have been reported including HLA-B7 and HLA-DR2 genetic haplotypes.[14]
General Pathology
The exact pathogenesis is controversial. An older theory, proposed by Gass, posits that inflammation in the outer retina and RPE produces the APMPPE phenotype of characteristic placoid lesions.[1] A second theory proposed by Van Buskirk is an occlusive vasculitis, potentially due to inflammatory or autoimmune processes, at the level of the choriocapillaris resulting in hypoperfusion and ischemia of the RPE and photoreceptors.[7] Ischemic injury to the RPE and outer retina then yields the characteristic placoid appearance.[15] In later stages, the inflamed choroid and retina manifests with RPE atrophy and hyperpigmentation.[10] Thus, the prevailing theory argues that primary involvement of the choriocapillaris leads to secondary injury of the RPE and outer retina. The end result of the disease process is atrophy of the choriocapillaris, RPE, and photoreceptors. Of note, some authors have argued that choroidopathy may be a more appropriate name than epitheliopathy.[6]
Primary Prevention
There are no recognized preventative measures.
Diagnosis
Diagnosis is made via clinical presentation and fundoscopic examination with or without additional imaging. Some have advocated for the use of a multimodal imaging approach that includes spectral domain optical coherence tomography, optical coherence tomography angiography, fundus autofluorescence, fluorescein angiography, and indocyanine green angiography.[3][6][15] According to a Standardization of Uveitis Nomenclature (SUN) Working Group study, an informatics and machine learning based classification criteria consensus for APMPPE includes "choroidal lesions with a plaque-like or placoid appearance and a characteristic fluorescein angiogram (lesions are hypofluorescent early and diffusely hyperfluorescent late)."[16]
History
Patients typically notice a rapid onset of blurred vision associated with central and paracentral scotomas. Photopsias and metamorphopsia have been reported prior to vision loss.[5] Symptoms are usually bilateral, asymmetric and can occur several days apart. Visual acuity can range from 20/40 to count-fingers depending on the extent of foveal involvement. Headache and other neurological symptoms such as sensorineural hearing loss may be noted and may appear months after the ocular involvement.[17] All patients with a new diagnosis of APMPPE should receive a full neurologic and systemic work-up to evaluate for CNS vasculitis and other associated systemic conditions. APMPPE-associated cerebral vasculitis can be fatal. Other associated CNS disorders that are sometimes associated with APMPPE include optic neuritis, peripheral vestibular disorders, meningoencephalitis, seizures, venous sinus thrombosis, intracerebral hemorrhage, and CVA/TIA.[17][18]
Physical Examination
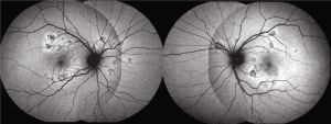
Anterior segment exam is usually normal, though anterior uveitis can be present, and there may be mild vitritis present in 50% of cases.[10] Fundoscopic examination typically shows multiple bilateral creamy yellow-white placoid lesions at the level of RPE and choroid 1-2 disc diameters throughout the fundus located posterior to the equator (generally within the posterior pole). The lesions gradually fade over the course of 1-2 weeks. New lesions may appear in the periphery up to 3 weeks following onset (radially or linearly). Papillitis may occur, but cystoid macular edema is uncommon. Older lesions are replaced with RPE atrophy or hyperpigmentation . There are reports of associated retinal vasculitis, vein occlusion, subhyaloid hemorrhage, retinal neovascularization, exudative retinal detachment, and rare choroidal neovascular membrane formation.
Diagnostic procedures
No specific laboratory tests exist to confirm the diagnosis. Spectral domain optical coherence tomography, optical coherence tomography angiography, fundus autofluorescence, fluorescein angiography and indocyanine green angiography are typically performed.[3][6][15] Characteristic findings of these diagnostic procedures include:
- Spectral domain optical coherence tomography (OCT): Hyperreflectivity from the outer plexiform layer to the RPE in acute lesions, with normal retinal thickness.[6] Absence of the ellipsoid zone (EZ) may also indicate foveal involvement and correlate with the loss of visual acuity.[19] Hyperreflectivity of outer layers disappears, the EZ re-emerges, and focal photoreceptor/RPE atrophy occurs during resolution of the placoid lesions.[6][19][20]
- Optical coherence tomography angiography (OCTA): May reveal abnormalities in choriocapillaris flow. Loss of flow can be seen in acute lesions, while vascular channels form in healing lesions with some return of flow. The cause of this finding in acute lesions may be due to signal attenuation from outer retina and/or RPE thickening or due to decreased perfusion through the choriocapillaris.[15][21]
- Fundus autofluorescence (FAF): Placoid lesions generally appear hypoautofluorescent and may have edges that are hyperoautofluorescent. Hypoautofluorescence may persist at borders after lesion resolution.[6]
- Fluorescein angiography (FA): Active lesions exhibit early hypofluorescence (blockage) corresponding to the placoid lesions followed by late, irregular hyperfluorescent staining.[5] Early hypofluorescence may represent poor perfusion of the choriocapillaris or signal attenuation from overlying outer retina and/or RPE thickening. Late hyperfluorescence may be a result of vascular leakage, which resolves in subacute or healed lesions.[21]
- Indocyanine green angiography (ICG): Active placoid lesions manifest as early and late hypofluorescence, which is thought to occur due to poor perfusion of the choriocapillaris. Normalization of the ICG signal may occur as the lesions resolve.[5]
- Additionally, CNS imaging (brain MRI +/- MRA) and possibly CSF examination should be considered to rule out CNS vasculitis in all patients with a new diagnosis of APMPPE.[22]
A case with imaging has been presented at https://www.aao.org/eyenet/article/the-case-of-aches-and-pains-and-blurry-vision
Differential diagnosis
Other White Dot Syndromes can resemble APMPPE. In particular, APMPPE, relentless placoid choroiditis, and serpiginous choroidopathy are all characterized by creamy yellow-white placoid lesions with similar imaging and angiographic characteristics.[3] These include, but are not limited to:
- Relentless placoid choroiditis: A diagnosis of RPC should be considered with persistent APMPPE that extends beyond 6 months. Placoid lesions in RPC are generally more numerous and peripheral, even anterior to the equator, when compared with APMPPE.[2][23]
- Serpiginous choroidopathy: The clinical course of SC is generally more chronic and severe than APMPPE. Placoid lesions in SC typically appear in the peripapillary region or macula and spread centrifugally in a serpiginous fashion and new lesions erupt from the edges of old lesions. A serpiginous-like chorioretinitis can be caused by syphilis or tuberculosis.[3][21]
- Multiple evanescent white dot syndrome: MEWDS is typically unilateral, with multiple smaller yellow-white spots (100-200 microns in size) with foveal granularity.[24]
- Multifocal choroiditis and panuveitis
- Punctate inner choroidopathy
- Birdshot chorioretinopathy
- Vogt Koyanagi Harada syndrome: APMPPE and VKH may lie in a spectrum of disease, and atypical APMPPE may present unilaterally with subretinal fluid, papillitis, and retinal vasculitis which responds well to systemic steroids.[25]
- Other infectious uveitis (syphilis, tuberculosis, or fungal disease), choroidal metastases, and lymphoma may present with placoid lesions as well and should be ruled out with appropriate tests if clinical suspicion is high.
Fundus autofluorescence: hypoautofluroescent lesions with edges that are hyperautofluorescence(Copyright © 2020 Mariana A. Oliveira et al. Reproduced without modifications from an open access article, Management of Acute Posterior Multifocal Placoid Pigment Epitheliopathy (APMPPE): Insights from Multimodal Imaging with OCTA, distributed under the Creative Commons Attribution License)
Prognosis and General Management
APMPPE is self-limiting with a generally good prognosis with the majority of affected patients achieving a visual acuity of 20/40 or better. Visual recovery typically takes 4 weeks, but can extend to 6 months in some patients. A recent review by Fiore T el al. analyzed 183 articles related to APMPPE and concluded that 25% of patients had a visual acuity of 20/50 or worse. Importantly, foveal involvement confers a worse visual prognosis.[6] Other atypical features, including age older than 60 years, unilaterality, an interval before involvement of the second eye of at least 6 months, recurrence of the disease, and leakage from choroidal veins may also portend a poorer prognosis.[26] There is no current consensus on treatment to stymie loss of visual acuity in APMPPE. However, steroids have been utilized and reported to be beneficial in cases of foveal involvement and associated CNS vasculitis.[6] Some physicians opt for steroids even in the absence of these two features. In the case of CNS vasculitis, intravenous methylprednisolone followed by oral steroid taper may be considered.[4] Future studies are needed to evaluate dosage, duration, and effects of steroid treatment. All patients with a new diagnosis of APMPPE should receive a full neurologic and systemic work-up to evaluate for CNS vasculitis and other associated systemic conditions, particularly autoimmune and infectious diseases outlined in the Risk Factors section.
Recurrent or chronic APMPPE may represent relentless placoid chorioretinitis, also known as ampiginous choroiditis, a disease that shares characteristics with APMPPE and serpiginous choroidopathy. It has a high recurrence rate, longer period of disease activity, and numerous multifocal lesions (>50) scattered throughout the fundus.[3] Correct diagnosis here is important, as the relapses of RPC and SC may warrant treatment with immunomodulatory therapy.[23][27]
Additional Resources
- Burés-Jelstrup A, Adán A, Casaroli-Marano R. Acute posterior multifocal placoid pigment epitheliopathy. A study of 16 cases. Arch Soc Esp Oftalmol. 2007 May;82(5):291-7
- Hsu CT, Harlan JB, Goldberg MF, Dunn JP. Acute posterior multifocal placoid pigment epitheliopathy associated with a systemic necrotizing vasculitis. Retina. 2003 Feb;23(1):64-8.
- Quillen DA et al. The white dot syndromes. Am J Ophthalmol. 2004 Mar;137(3):538-50
- Comu S, Verstraeten T, Rinkoff JS, Busis NA. Neurological manifestation of acute posterior multifocal placoid pigment epitheliopathy. Stroke. 1996 May;27(5):996-1001
- O’Halloran HS et al. Acute multifocal placoid pigment epitheliopathy and central nervous system involvement: nine new cases and a review of the literature. Ophthalmology. 2001 May;108(5):861-8
- Fiore T el al. Acute posterior multifocal placoid pigment epitheliopathy: outcome and visual prognosis. Retina. 2009 Jul-Aug;29(7):994-1001
- Retina and Vitreous, Section 12. Basic and Clinical Science Course, AAO, 2009-10.
- Gass JD. Acute posterior multifocal placoid pigment epitheliopathy. Arch Ophthalmol. 1968 Aug;80(2):177-85
- Jones NP. Acute posterior multifocal placoid pigment epithliopathy. Br J Ophthalmol. 1995 Apr;79(4):384-9
- Steiner S, Goldstein D. Imaging in the Diagnosis and Management of APMPPE. International Ophthalmology Clinics. 2012;52(4):211-219.
- Mirza G, Jampol L. Acute posterior multifocal placoid pigment epitheliopathy. In Ryan SJ. Retina, 5th Edition. Elsevier, 2013: 1341-1346.
References
- ↑ 1.0 1.1 1.2 1.3 1.4 Gass JD. Acute posterior multifocal placoid pigment epitheliopathy. Arch Ophthalmol. Aug 1968;80(2):177-185.
- ↑ 2.0 2.1 Abu-Yaghi NE, Hartono SP, Hodge DO, Pulido JS, Bakri SJ. White dot syndromes: a 20-year study of incidence, clinical features, and outcomes. Ocul Immunol Inflamm. Dec 2011;19(6):426-430.
- ↑ 3.0 3.1 3.2 3.3 3.4 3.5 3.6 Raven ML, Ringeisen AL, Yonekawa Y, Stem MS, Faia LJ, Gottlieb JL. Multi-modal imaging and anatomic classification of the white dot syndromes. Int J Retina Vitreous. 2017;3:12.
- ↑ 4.0 4.1 Testi I, Vermeirsch S, Pavesio C. Acute posterior multifocal placoid pigment epitheliopathy (APMPPE). J Ophthalmic Inflamm Infect. 2021 Nov 1;11(1):31. doi: 10.1186/s12348-021-00263-1.
- ↑ 5.0 5.1 5.2 5.3 Ma DJ. Acute Posterior Multifocal Placoid Pigment Epitheliopathy. In: Yu HG, ed. Inflammatory and Infectious Ocular Disorders. Singapore: Springer; 2020:1-7.
- ↑ 6.0 6.1 6.2 6.3 6.4 6.5 6.6 6.7 6.8 Oliveira MA, Simão J, Martins A, Farinha C. Management of Acute Posterior Multifocal Placoid Pigment Epitheliopathy (APMPPE): Insights from Multimodal Imaging with OCTA. Case Rep Ophthalmol Med. 2020;2020:7049168.
- ↑ 7.0 7.1 Van Buskirk EM, Lessell S, Friedman E. Pigmentary Epitheliopathy and Erythema Nodosum. Arch Ophthalmol. 1971;85(3):369-372. doi:10.1001/archopht.1971.00990050371025
- ↑ Deutman A, Oosterhuis J, Boen-Tan T, Aan de Kerk A. Acute posterior multifocal placoid pigment epitheliopathy - Pigment epitheliopathy or choriocapillaritis. Br J Ophthalmol. 1972;56(12):863-874. doi:10.1136/bjo.56.12.863
- ↑ 9.0 9.1 Steptoe PJ, Pearce I, Beare NAV, et al. Proposing a Neurotropic Etiology for Acute Posterior Multifocal Placoid Pigment Epitheliopathy and Relentless Placoid Chorioretinitis. Front Ophthalmol 2022;1:802962.
- ↑ 10.0 10.1 10.2 Holt WS, Regan CD, Trempe C. Acute posterior multifocal placoid pigment epitheliopathy. Am J Ophthalmol. Apr 1976;81(4):403-412.
- ↑ Comu S, Verstraeten T, Rinkoff JS, Busis NA. Neurological manifestations of acute posterior multifocal placoid pigment epitheliopathy. Stroke. May 1996;27(5):996-1001.
- ↑ Hernández-Da Mota SE. [Acute posterior multifocal placoid pigment epitheliopathy. Case report]. Cir Cir. 2016 Mar-Apr 2016;84(2):135-139.
- ↑ Kraemer LS, Montgomery JR, Baker KM, Colyer MH. ACUTE POSTERIOR MULTIFOCAL PLACOID PIGMENT EPITHELIOPATHY AFTER IMMUNIZATION WITH MULTIPLE VACCINES. Retin Cases Brief Rep. Jan 2020.
- ↑ Wolf MD, Folk JC, Panknen CA, Goeken NE. HLA-B7 and HLA-DR2 antigens and acute posterior multifocal placoid pigment epitheliopathy. Arch Ophthalmol. May 1990;108(5):698-700.
- ↑ 15.0 15.1 15.2 15.3 Heiferman MJ, Rahmani S, Jampol LM, et al. ACUTE POSTERIOR MULTIFOCAL PLACOID PIGMENT EPITHELIOPATHY ON OPTICAL COHERENCE TOMOGRAPHY ANGIOGRAPHY. Retina. Nov 2017;37(11):2084-2094.
- ↑ Standardization of Uveitis Nomenclature (SUN) Working Group. Classification Criteria for Acute Posterior Multifocal Placoid Pigment Epitheliopathy. Am J Ophthalmol. 2021 Aug;228:174-181.
- ↑ 17.0 17.1 Maamari RN, Stunkel L, Kung NH, et al. Acute Posterior Multifocal Placoid Pigment Epitheliopathy Complicated by Fatal Cerebral Vasculitis. J Neuroophthalmol. Jun 2019;39(2):260-267.
- ↑ Tsuboyama M, Chandler JV, Scharf E, et al. Neurologic Complications of Acute Posterior Multifocal Placoid Pigment Epitheliopathy: A Case Series of 4 Patients. Neurohospitalist. Jul 2018;8(3):146-151.
- ↑ 19.0 19.1 Browne A, Ansari W, Hu M, et al. Quantitative Analysis of Ellipsoid Zone in Acute Posterior Multifocal Placoid Pigment Epitheliopathy. Journal of VitreoRetinal Diseases. 2020;4(3):192-201.
- ↑ Scheufele TA, Witkin AJ, Schocket LS, et al. Photoreceptor atrophy in acute posterior multifocal placoid pigment epitheliopathy demonstrated by optical coherence tomography. Retina. Dec 2005;25(8):1109-1112.
- ↑ 21.0 21.1 21.2 Desai R, Nesper P, Goldstein DA, Fawzi AA, Jampol LM, Gill M. OCT Angiography Imaging in Serpiginous Choroidopathy. Ophthalmol Retina. 04 2018;2(4):351-359.
- ↑ Algahtani H, Alkhotani A, Shirah B. Neurological Manifestations of Acute Posterior Multifocal Placoid Pigment Epitheliopathy. J Clin Neurol. 2016 Oct;12(4):460-467. doi: 10.3988/jcn.2016.12.4.460.
- ↑ 23.0 23.1 Asano S, Tanaka R, Kawashima H, Kaburaki T. Relentless Placoid Chorioretinitis: A Case Series of Successful Tapering of Systemic Immunosuppressants Achieved with Adalimumab. Case Rep Ophthalmol. 2019 Jan-Apr 2019;10(1):145-152.
- ↑ Papasavvas I, Mantovani A, Tugal-Tutkun I, Herbort CP Jr. Multiple evanescent white dot syndrome (MEWDS): update on practical appraisal, diagnosis and clinicopathology; a review and an alternative comprehensive perspective. J Ophthalmic Inflamm Infect. 2021 Dec 18;11(1):45.
- ↑ Vedantham V, Ramasamy K. Atypical manifestations of acute posterior multifocal placoid pigment epitheliopathy. Indian J Ophthalmol. 2006 Mar;54(1):49-52. PubMed PMID: 16531674.
- ↑ Pagliarini S, Piguet B, Ffytche TJ, Bird AC. Foveal involvement and lack of visual recovery in APMPPE associated with uncommon features. Eye (Lond). 1995;9 ( Pt 1):42-47.
- ↑ Jyotirmay B, Jafferji SS, Sudharshan S, Kalpana B. Clinical profile, treatment, and visual outcome of ampiginous choroiditis. Ocul Immunol Inflamm. Jan 2010;18(1):46-51.

